Morphée Flashcards

(34 cards)

1
Q

Autoanticorps morphée (6)

A

Morphée
Anti-ssDNA
Anti-topoisomérase 2alpha
Anti-phospholipide
Anti-fibrilline-1
Anti-histone

Morphée linéaire ou généralisée (40-80%)
ANA
Anti-ssDNA

Pédiatrie (40%)
ANA

*anti-ssDNA en morphée linéaire associé avec risque accru d’atteinte rénale

How well did you know this?
1
Not at all
2
3
4
5
Perfectly
2
Q

Épidémiologie morphée

A

F > H

Prévalence augmente avec l’âge
morphée linéaire 2/3 avant 18 ans

11% avec handicap significatif

How well did you know this?
1
Not at all
2
3
4
5
Perfectly
3
Q

Distinction morphée et SSc

A

SSc
Symétrique

Forme limitée atteint doigts et mains avec extension progressive vers les avant-bras

Forme diffuse atteint tronc et extrémités proximales
Raynaud
Sclérose digitale
Atteinte GI
Atteinte pulmonaire

*pathogenèse identique

How well did you know this?
1
Not at all
2
3
4
5
Perfectly
4
Q

Complications morphée (3)

A

Contractures
Retard de croissance
Micromélie

How well did you know this?
1
Not at all
2
3
4
5
Perfectly
5
Q

Formes de morphée avec atteinte systémique

A

Morphée linéaire du visage
Parry-Romberg

*symptômes oculaires ou neurologiques chez minorité
inflammation et sclérose des méninges et du cerveau créent foyer pour convulsion

How well did you know this?
1
Not at all
2
3
4
5
Perfectly
6
Q

Formes de morphée (8)

A

En plaques (#1)
en goutte
atrophodermie de Pasini et Pierini
morphée profonde
morphée nodulaire ou chéloïdienne
morphée bulleuse

Morphée linéaire
en coup de sabre
Parry-Romberg (atrophie hémifaciale)

Morphée généralisée
morphée pansclérotique de l’enfant

How well did you know this?
1
Not at all
2
3
4
5
Perfectly
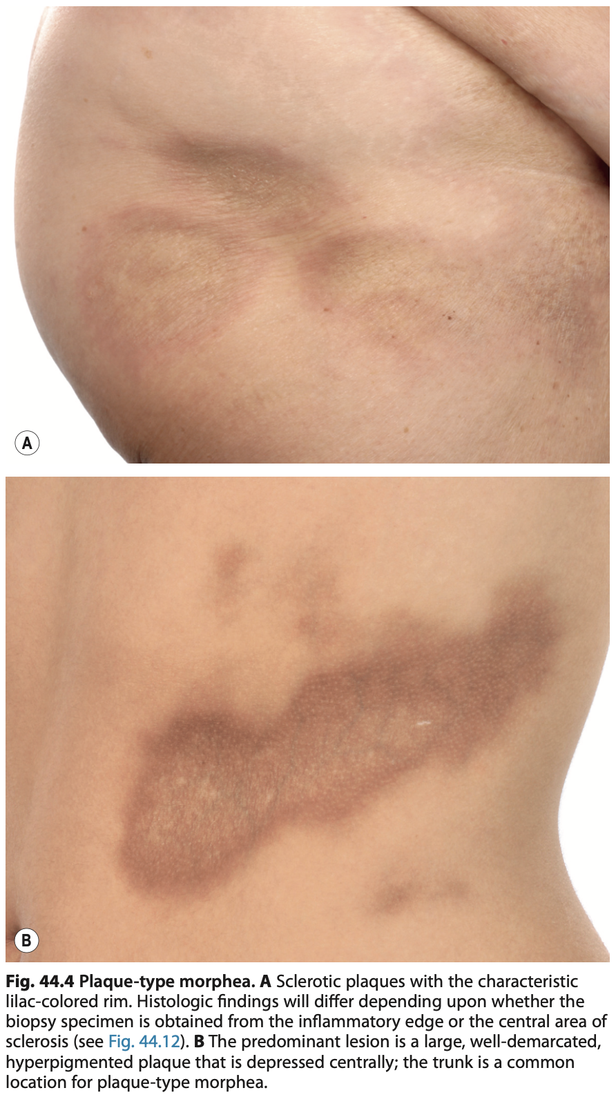
7
Q

Description morphée

A

Plaque active
Bordure lilacée
Hypo- ou dyspigmentation centrale
Progression centrifuge

Évolution
Sclérose
Perte des structures annexielles (souvent)
Hyperpigmentation

Progression sur 3-5 ans puis arrêt et résolution spontanée
persistance de l’atrophie résiduelle et de la dyspigmentation

How well did you know this?
1
Not at all
2
3
4
5
Perfectly
8
Q

Description morphée en goutte

A

Multiples plaques nummulaires superficielles
relativement plus petites

How well did you know this?
1
Not at all
2
3
4
5
Perfectly
9
Q

Description atrophodermie de Pasini et Pierini

A

Considérée variante très superficielle de morphée en plaque ou morphée épuisée

Tronc postérieur
Taches hyperpigmentées
“Cliff drop edge” (photo)

*atrophodermie de Moulin lorsque suit les lignes de Blaschko

How well did you know this?
1
Not at all
2
3
4
5
Perfectly
10
Q

Description morphée profonde

A

Inflammation et sclérose du derme profond et du tissu sous-cutané
parfois atteinte des structures sous-jacentes (fascia)

Plaques indurées profondes (peu nombreuses)
aspect pseudo-cellulite
Parfois altèrent mobilité de la peau
Parfois calcification (calcinose cutis dystrophique)

*DDx fasciite éosinophilique

How well did you know this?
1
Not at all
2
3
4
5
Perfectly
11
Q

Description morphée nodulaire (chéloïdienne)

A

Inflammation dans le derme

Nodules chéloïdiens ou bandes

How well did you know this?
1
Not at all
2
3
4
5
Perfectly
12
Q

Description morphée bulleuse

A

Lymphocèle par stase de liquide lymphatique

Morphée généralisée ou GVHD morphéiforme»_space; morphée en plaque
Contexte de sclérose avec oedème rapidement progressif diffus

*DDx bulles mécaniques au centre d’une plaque

How well did you know this?
1
Not at all
2
3
4
5
Perfectly
13
Q

Description morphée linéaire

A

Lésion de morphée en plaque avec extension longitudinale
série de plaques qui se rejoignent et forme bande cicatricielle
>
Strie linéaire érythémateuse (inflammatoire)

Atteinte possible fascia sous-jacent, muscle et tendons
faiblesse musculaire
raccourcissement des muscles et du fascia
= altération mobilité surtout si au-dessus d’une articulation

How well did you know this?
1
Not at all
2
3
4
5
Perfectly
14
Q

Description atrophie hémifaciale (Parry-Romberg)

A

Distribution entière du trijumeau (inclut oeil, langue)
Perte progressive du tissu SC
Peu ou pas de sclérose

How well did you know this?
1
Not at all
2
3
4
5
Perfectly
15
Q

Description morphée en coup de sabre

A

Morphée linéaire de la tête
Front au cuir chevelu frontal
UL, souvent paramédian

Initial
Plaque lilacée similaire à morphée en plaque
ou
Strie linéaire similaire à PWS
ou
Plusieurs petites plaques qui coalescent

Évolution
Sclérose ou atrophie
Parfois alopécie (cuir chevelu, sourcil)

*rare atteinte méninges ou cerveau, foyer de convulsions

How well did you know this?
1
Not at all
2
3
4
5
Perfectly
16
Q

Variantes morphée linéaire (2)

A

En coup de sabre
Atrophie hémifaciale
Parry-Romberg

17
Q

Description morphée généralisée

A

Tronc (comme morphée en plaque)
progression ad atteinte diffuse
épargne des mamelons

Constrictions pouvant causer difficulté è respirer
mobilité thoracique altérée
inflammation des muscles intercostaux

Maladie résistante
réponse limitée au traitement

Disabling pansclerotique morphea of children
Variante pédiatrique (< 14 ans)
Handicap à vie
atrophie persistante des muscles sous-jacents
contractures des articulations atteintes
Atrophie périodontaire
Légère atteinte oesophage et poumons
DDx SSc

18
Q

Proportion des cas de morphée en pédiatrie

A

20%

Morphée linéaire 2/3 sont pédiatriques

*âge moyen 7 ans
*2F > 1H

19
Q

Conséquence morphée linéaire non traitée

A

Pédiatrie
Asymétrie permanente des membres
hypoplasie unilatérale

20
Q

Description disabling pansclerotic morphe of children

A

Variante pédiatrique de morphée généralisée
< 14 ans

Handicap à vie
atrophie persistante des muscles sous-jacents
contractures des articulations atteintes
Atrophie périodontaire
Légère atteinte oesophage et poumons
DDx SSc

21
Q

Perturbation FSC en morphée

A

Éosinophilie
Phase active précoce

Auto-anticorps
Morphée linéaire ou généralisée (40-80%)
ANA
Anti-ssDNA
Anti-histones

22
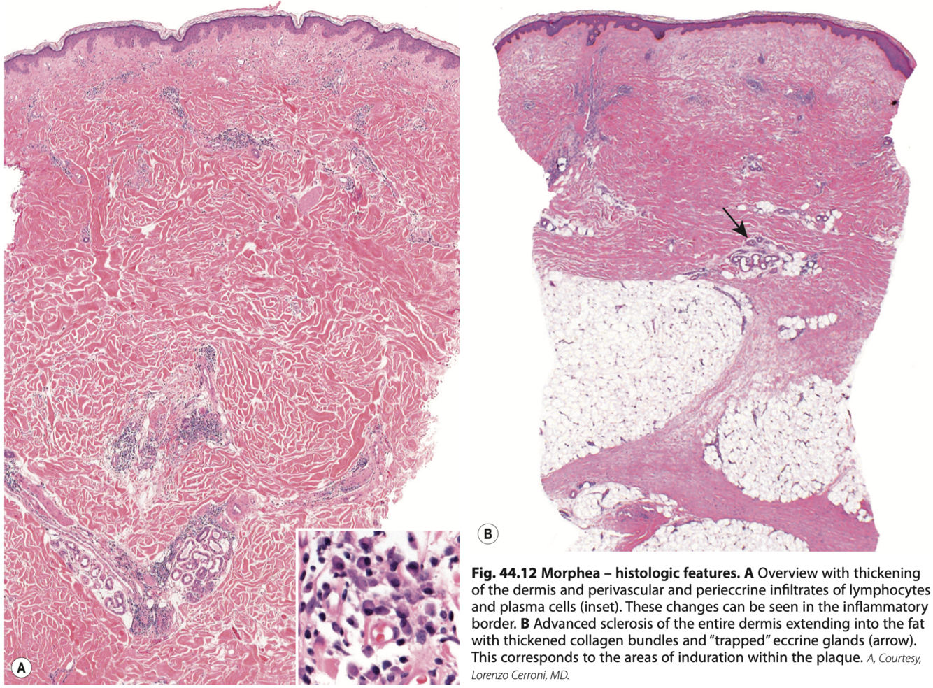
Q

Histologie morphée

A

Bordure inflammatoire
Infiltrat périvasculaire CD4+
parfois éosinophiles, plasmocytes et mastocytes

Oedème du derme
Oedème endothélial

Sclérose centrale
Épiderme N ou aplati
Pas d’oedème du derme
Diminution du nombre de vaisseaux de petite taille

Paquets de collagène homogène
denses avec diminution de l’espace entre les paquets
alignement parallèle DEJ

Absence de structures autres
glandes eccrines atrophiques et emprisonnées dans le derme épaissi
tissu SC homogène et hyalinisé

Square biopsy

23
Q

Particularité histologie morphée profonde

A

Atteinte obligatoire du fascia
Sclérose extensive et hyalinisation
ad fascia

*atteinte fascia observée avec morphée linéaire et généralisée

24
Q

Distinction syndromes morphéiformes et sclérodermoïdes

A

Morphéiformes
Plaques bien délimitées similaires à morphée

Sclérodermoïdes
Acrosclérose et Raynaud

25
Syndromes morphéiformes (8)
Lipodermatosclérose Injections vitamine K1 (maladie de Texier) Morphée associée à la vaccination Injection et implants de paraffine ou silicone Porphyries Morphée induite par radiation Fibrose systémique néphrogénique GVHD chronique (L-tryptophan / éosinophilie-myalgie) (Toxic oil syndrome)
26
Maladie de Texier
*Injections vitamine K1 soluble dans l'huile* Fasciite éosinophilique localisée idem à morphée profonde Résolutioin possible avec atrophie dermique ou SC
27
Morphée induite par la radiation
**Épidémiologie** 1:500 Cancer du sein surtout Ad années après radiothérapie **Présentation clinique** Champ de radiation et plus large Sclérose, érythème et changements pigmentaires **Histologie** Dermite radique Inflammation périvasculaire et SC FIbrose dermique Dépôts de collagène
28
DDx clinique lésions morphéiformes (15+)
Morphée GVHD chronique LS Lipodermatosclérose Sclérose aux sites d'injection vitamine K1 (Texier) vitamine B12 implants de silicone ou paraffine IFN-beta glatiramer enfuvirtide bleomycine (IL) opioïdes (pentazocine, ketobemidone, methadone) vaccination Médication systémique bléomycine taxanes (paclitaxel, docetaxel) bromocriptine ethosuximide acide valproïque penicillamine Exposition à des toxines ou des produits chimiques hydrocarbones aromatiques ou chlorinés (benzène ou toluène) fibrose systémique néphrogénique toxic oil syndrome Morphée induite par la radioathérapie Porphyrie PCT porphyrie hépatopoïétique porphyrie érythropoïétique congénitale Muckle-Wells Winchester Stiff skin Linear melorheostose Dystrophie sympathique réflexe Sarcoïdose morphéiforme Naevus mélanocytaire congénital sclérosant Syndrome sclérodermie-like paranéoplasique Métastases cutanées carcinome en cuirasse **Autres** Chéloïdes Contracture de Dupuytren Camptodactylie Scléroedème Scléromyxoedème Cheiroarthropathie diabétique **Pédiatrie** Progérie Syndromes de vieillisement prématuré
29
Produits associés à sclérose au site d'injection (9)
Vitamine K1 (Texier) Vitamine B12 Implants de silicone ou paraffine IFN-beta Glatiramer Enfuvirtide Bleomycine (IL) Opioïdes pentazocine ketobemidone methadone Vaccination
30
Expositions exogènes associées à lésions morphéiformes (3)
Hydrocarbones aromatiques ou chlorinés benzène ou toluène aux sites de contact avec la peau Fibrose systémique néphrogénique Toxic oil syndrome
31
Traitement morphée
**Photothérapie** (30-36 traitements) PUVA (oral ou bath) UVA1 (30-60 J/cm2) (Photophérèse extra-corporelle) **Topiques** (peu de données) CS (incluant IL) Inhibiteurs calcineurine topique Imiquimod 5% crème Dérivés vitamine D calcipotriène 0.005% onguent **Systémiques** *Immunosuppresseurs* MTX pédiatrie 0.3-0.7 mg/kg/semaine adultes 15-20 mg/semaine MTX et CS (le plus efficace) pulses 30 mg/kg x 3 jours par mois en pédiatrie pulses 1 g x 3 jours par mois adultes *Autres* Rétinoïdes acitretin isotrétinoïne PNC 30 x 10^6 UI/jour x 3-4 semaines (efficace 5%) Penicillamine **Chirurgie** Reconstruction en cas de contractures persistantes Révision cicatrice (en coup de sabre) Transplantation autologue de gras (Parry-Romberg) **Physiothérapie**
32
Algorithme traitement morphée
*Seulement pour morphée active* **Dermique** *Plaque isolée* CS topiques très puissants CS IL Onguent tacrolimus 0.1% Calcipotriène *Généralisée* Photothérapie 3-5x semaine pour 30-50 sessions UVA1 NB-UVB **Profond** *Atteinte fonctionnelle ou rapidement progressive* MTX enfants 1 mg/kg/semaine adultes 15-25 mg/semaine CS oral 0.5-1 mg/kg/jour (doses divisées bid) à sevrer sur 3-4 mois IV pulses 30 mg/kg/jour (max 1000 mg/jour) x 3 jours par mois x 3 mois *Pas d'atteinte fonctionnelle et progression lente* MTX enfants 1 mg/kg/semaine (0.3-0.7 mg/semaine) adultes 15-25 mg/semaine *si échec à MTX, MMF 2-3 g par jour
33
Mécanismes de photothérapie PUVA ou UVA1 en morphée
Induisent expression de MMP-1 collagénase qui réduit procollagène et collagène dans la peau *inefficace en morphée profonde *morphée linéaire requiert ad 60 traitement (vs 30-36) *peu d'impact NB-UVB
34
Doses MTX pour morphée
**Pédiatrie** 0.3-0.7 mg/kg/semaine **Adultes** 15-20 mg/semaine **Combinaison MTX et CS** (le plus efficace) *Pédiatrie** Pulses 30 mg/kg x 3 jours par mois en pédiatrie *Adultes* Pulses 1 g x 3 jours par mois