LS Flashcards

(11 cards)

1
Q

Auto-anticorps LS

A

Anti-ECM-1 (80%)
extracellular matrix protein 1

*prévalence plus élevée de maladies auto-immunes chez F LS

How well did you know this?
1
Not at all
2
3
4
5
Perfectly
2
Q

Épidémiologie LS

A

ad 10F > 1H

2 pics d’incidence (f)
40 à 60 ans
8 à 13 ans

Phimosis fréquent chez H
Atteinte extra-génitale rare en pédiatrie

*coexistence fréquente avec morphée en plaque / morphée généralisée

How well did you know this?
1
Not at all
2
3
4
5
Perfectly
3
Q

Description LS

A

OGE > extra-génital (tronc, extrémités proximales)
F vulve et périanal (8)
H gland et prépuce interne

Papules et plaques planes sclérotiques, blanc ivoire
atrophie épidermique (wrinkled) avec télangiectasies
follicular plugging (sites extramuqueux)
purpura, érosions
Prurit sévère avec lésions génitales

Pas d’atteinte systémique

Changements architecturaux
Clitoris enfoui
Fusion des petites et grandes lèvres
Cicatrices introïtus vaginal
Phimosis

How well did you know this?
1
Not at all
2
3
4
5
Perfectly
4
Q

Sites de prédilection pour LS extra-génital

A

Tronc et extrémités proximales

Cou
Épaules
Fléchisseurs des poignets
Sites de traumatismes physiques ou pression continue
épaule
hanche

*rare atteinte périorbitale ou
cuir chevelu

How well did you know this?
1
Not at all
2
3
4
5
Perfectly
5
Q

Complications LS (2)

A

Cicatrices de l’introïtus vaginal
Phimosis

>

Paraphimosis
Obstruction urinaire et dysurie

How well did you know this?
1
Not at all
2
3
4
5
Perfectly
6
Q

Description LS H

A

Balanite récurrente ou phimosis acquis
rarement atteinte périanale

Gland et portion interne du prépuce
Plaques érythémateuses bien délimitées
parfois bleu-rouge
parfois érodées
Évolution vers cicatrice blanche atrophique scléreuse

Phimosis (non circoncis)
risque paraphimosis
Douleur érection
Dysurie et obstruction urinaire

How well did you know this?
1
Not at all
2
3
4
5
Perfectly
7
Q

Risque de cancer avec LS

A

CSC ou néoplasie intraépithéliale
5% en LS vulvaire (traitement partiel)

How well did you know this?
1
Not at all
2
3
4
5
Perfectly
8
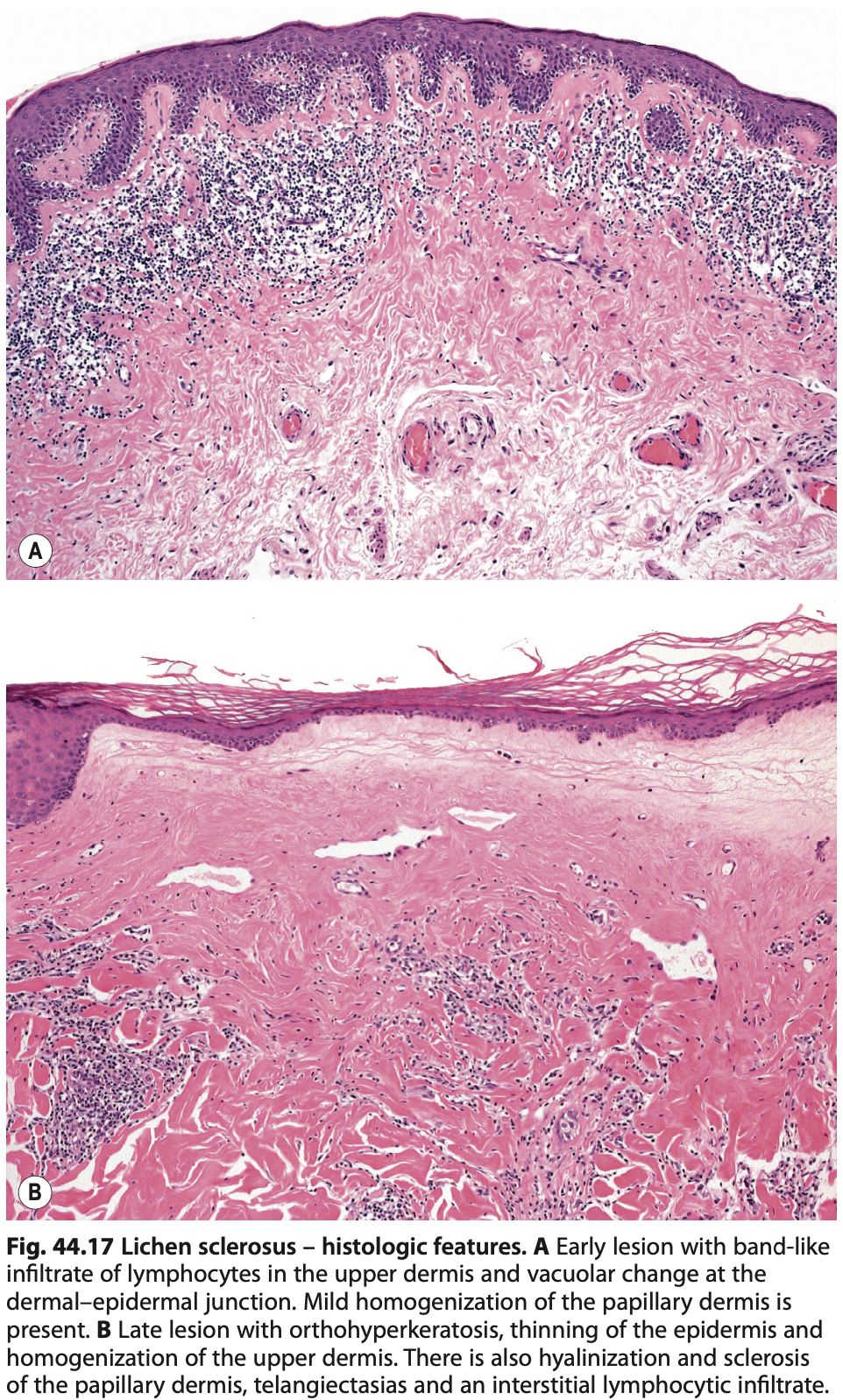
Q

Histologie LS

A

Hyperkératose surtout aux ouvertures folliculaires
follicular plugging (sites extramuqueux)
Épiderme aminci

Dermite d’interface
dégénérescence basale
Infiltrat lymphocytaire en bande
lymphocytes (CD3+, CD4+, CD8+), macrophages et mastocytes

Oedème du derme superficiel
Homogénéisation du collagène dermique
perte des fibres élastiques (pas en morphée)
Hémorragie dermique

Lésion plus vieille
Infiltrat mononucléé moins important
ilots de cellules mononucléées dans le derme hyalinisé

How well did you know this?
1
Not at all
2
3
4
5
Perfectly
9
Q

DDx clinique LS (5+)

A

Extra-génital
Morphée
GVHD

Génital
PMM
LSC
Dermatite vulvaire (eczéma)
Abus sexuel (pédiatrie)

LP érosif
Érythroplasie de Queyrat
CSC (hyperplasie pseudoépithéliomateuse LS)
GVHD

How well did you know this?
1
Not at all
2
3
4
5
Perfectly
10
Q

Traitement LS

A

Topiques (peu de données)
CS ultra-puissants
CS IL
Inhibiteurs calcineurine topique

Systémiques
HCQ
Rétinoïdes
Vitamine D

Photothérapie
PUVA ou UVA1 faible dose (20 J/cm2)
Moins efficace qu’en morphée
Considérer pour atteinte extragénitale réfractaire

Chirurgie
Circoncision (H)
Laser CO2

Physiothérapie

How well did you know this?
1
Not at all
2
3
4
5
Perfectly
11
Q

Protocole CS topiques pour LS

A

Clobetasol propionate 0.05% crème x 12 semaines
puis entretien

How well did you know this?
1
Not at all
2
3
4
5
Perfectly