Hailey-Hailey Flashcards

(31 cards)

1
Q

Mutation Hailey-Hailey

A

AD
Mutation ATP2C1
Encode hSPCA1
ATPase Ca2+ de l’appareil de Golgi

How well did you know this?
1
Not at all
2
3
4
5
Perfectly
2
Q

Pathogenèse Hailey-Hailey

A

AD
Mutation ATP2C1
Encode hSPCA1
ATPase Ca2+ de l’appareil de Golgi

hSPCA1
Transporte Ca2+ et Mn2+ et séquestre Ca2+ dans lumen de l’appareil de Golgi
Taux N de Ca2+ permettent processing des protéines

Déplétion Ca2+ dans kératinocytes HHD
Altération du processing et de la translocation des protéines jonctionnelles (adhésion cellulaire)
Diminution des composants desmosomaux extracellulaires

Jonctions serrés et adhérentes altérées également

How well did you know this?
1
Not at all
2
3
4
5
Perfectly
3
Q

Description Hailey-Hailey

A

Régions intertrigineuses
Aisselles, aines, cou, périanal > cuir chevelu, plis genoux et coudes, tronc
inframammaire et vulvaire F
Vésicules et bulles flasques sur fond érythémateux
érosions macérées ou croutées
extension périphérique avec bordure circinée

Progression à végétations et fissures
Guérison sans cicatrice (PIH)

Prurit
Mauvaise odeur

Ongles
Leuconychie longitudinale

Muqueuse rarement affectée

How well did you know this?
1
Not at all
2
3
4
5
Perfectly
4
Q

Facteurs pouvant exacerber Hailey-Hailey (7)

A

Été

Friction
Chaleur
Transpiration
UVR
Colonisation microbienne
Infection secondaire
staphylocoques
Menstruation et grossesse

How well did you know this?
1
Not at all
2
3
4
5
Perfectly
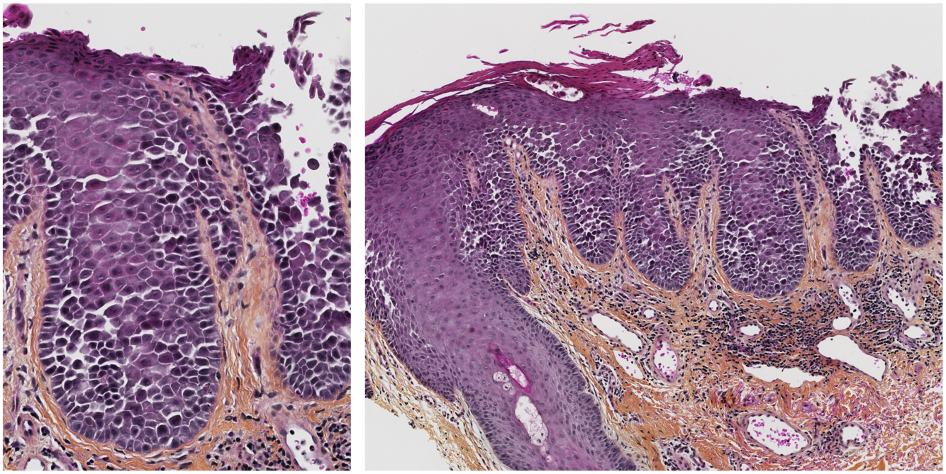
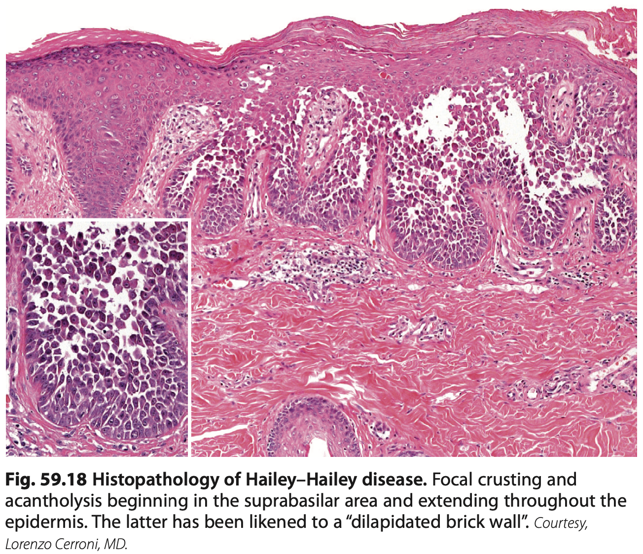
5
Q

Histologie Hailey-Hailey

A

Acantholyse étendue avec peu de dyskératose

Lésion chronique
Hyperplasie épidermique
parakératose
Croutes focales
Infiltrat lymphocytaire périvasculaire du derme superficiel

Acantholyse étendue
Grandes zones de dyscohésion avec cellules acantholytiques
mur de briques dilapidé
Papilles dermiques faisant protrusion dans les cavités
Peu de cellules acantholytiques dyskératosiques

IFD négative

How well did you know this?
1
Not at all
2
3
4
5
Perfectly
6
Q

Distribution Hailey-Hailey

A

Aisselles, aines, cou, interfessier
>
Cuir chevelu
Plis des coudes et genoux

How well did you know this?
1
Not at all
2
3
4
5
Perfectly
7
Q

Distinction distribution Hailey-Hailey et Darier

A

Hailey-Hailey
Aisselles, aines, cou, interfessier
>
Cuir chevelu
Plis des coudes et genoux

Darier
Tronc supérieur et tête
>
Acral
Intertrigineux

How well did you know this?
1
Not at all
2
3
4
5
Perfectly
8
Q

Distinction distribution Hailey-Hailey et Grover

A

Hailey-Hailey
Aisselles, aines, cou, interfessier
>
Cuir chevelu
Plis des coudes et genoux

Grover
Tronc

How well did you know this?
1
Not at all
2
3
4
5
Perfectly
9
Q

Traitements topiques Hailey-Hailey

A

CS topiques
application précoce peut limiter développement d’une lésion
CS IL
Antimicrobiens topiques
chlorhexidine gluconate 4%
bain d’eau de javel
(Inhibiteurs calcineurine topique)

Barrière
Pâte d’oxyde de zinc

Hyperhidrose
Chlorure d’aluminium 6.5 à 20%
Glycopyrrolate de sodium 2%
Injection de toxine botulinique

Cas rapportés
5-FU
Analogues vitamine D

How well did you know this?
1
Not at all
2
3
4
5
Perfectly
10
Q

Traitements systémiques Hailey-Hailey (5+)

A

Antimicrobiens
Doxycycline 100 mg PO die x 3 mois
maintient pour contrôle soutenu
Érythromycine et PNC
Dapsone

Rétinoïdes (efficacité variable)
Acitrétine 10-25 mg die x 5+ mois
Alitrétinoïne 30 mg PO die x 9-12 mois
régression complète en 1-3 mois
>
Isotrétinoïne

Immunomodulateurs pour cas sévères
Prednisone 0.5 mg/kg/jour
CSA 2.5 mg/kg/jour x 3 semaines
sevrage sur 6 mois
Thalidomide
AZA
MTX (échec > succès)
TNFi (échec >succès étanercept)

Naltrexone 3-4.5 mg/jour (ad 6)

Autres
Chlorure de magnésium
synergie avec naltrexone
Apremilast 30 mg bid
Vitamine D
Oxybutinine
Glycopyrrolate
α-MSH

How well did you know this?
1
Not at all
2
3
4
5
Perfectly
11
Q

Traitements chirurgicaux Hailey-Hailey (4)

A

Maladie réfractaire

Exérèse élargie avec greffe
Ablation superficielle (épiderme ad derme)
dermabrasion
laser CO2 ou Er:YAG
PDT

Autres
PDL q 2-4 semaines (moyenne 5 traitements)
paramètres subpurpuriques : durée 6-10 ms, spot 7-10 mm, fluence 7-10 J/cm2
Alexandrite
Diode (échec)
NB-UVB
2-3 sessions/semaine (2-8 mois)
combinaisons rapportées avec 25-30 mg die
PDT

How well did you know this?
1
Not at all
2
3
4
5
Perfectly
12
Q

Traitements Hailey-Hailey

A

Général
Vêtements légers et amples
Éviter pansements adhésifs et occlusifs
Limiter colonisation et traiter infections
nettoyants antimicrobiens
Éviter exacerbations
friction
transpiration
(Perte de poids)

Topiques
CS topiques
application précoce peut limiter développement d’une lésion
CS IL
Antimicrobiens topiques
chlorhexidine gluconate 4%
bain d’eau de javel
(Inhibiteurs calcineurine topique)

Barrière
Pâte d’oxyde de zinc

Hyperhidrose
Chlorure d’aluminium 6.5 à 20%
Glycopyrrolate de sodium 2%
Injection de toxine botulinique

Chirurgicaux
Réfractaire
Exérèse élargie avec greffe
Ablation superficielle (épiderme ad derme)
dermabrasion
laser CO2 ou Er:YAG
PDT

Systémiques
Doxycycline (pas toujours efficace)
Acitrétine
Naltrexone 3-4.5 mg/jour (ad 6)
Prednisone 0.5 mg/kg/jour
CSA 2.5 mg/kg/jour x 3 semaines
sevrage sur 6 mois
Thalidomide
AZA

How well did you know this?
1
Not at all
2
3
4
5
Perfectly
13
Q

Apparition Hailey-Hailey

A

10-30 ans
(parfois retardé 30-50 ans)

How well did you know this?
1
Not at all
2
3
4
5
Perfectly
14
Q

Évolution Hailey-Hailey

A

Rémission complètes ou poussées
Difficile à prévoir
Certains s’améliorent avec l’âge

Complications
Infections et colonisation
bactéries
mycoses
virus
Cancer
CSC (lésions chroniques, surtout anogénitales)

How well did you know this?
1
Not at all
2
3
4
5
Perfectly
15
Q

Complications Hailey-Hailey (2+)

A

Infections et colonisation
bactéries
mycoses
virus
Cancer
CSC (lésions chroniques, surtout anogénitales)

How well did you know this?
1
Not at all
2
3
4
5
Perfectly
16
Q

Mosaïcisme Hailey-hailey

A

Segmentaire type 1
Mutation postzygotique hétérozygote
Apparition et sévérité similaire à non mosaïque

Segmentaire type 2
Inactivation post-zygotique de l’allèle ATP2C1 qui était demeuré N (perte de l’hétérozygosité)
Atteinte similaire à Hailey-Hailey régulier, mais région segmentaire plus affectée
Atteinte possible des structures annexielles = impossible d’éradiquer les foyers d’érosions par méthodes ablatives superficielles

17
Q

Distinction Hailey-Hailey et Darier

A

Darier
Atteinte non limitée aux sites intertrigineux
acral
tronc
Atteinte cutanée à prédominance non vésiculeuse
Atteinte unguéale
V-shaped notches distaux
érythronychie longitudinale
Atteinte orale
papules orales

Histologie
Acantholyse moins diffuse
Plus de dyskératose

18
Q

Distinction histologique Darier et Hailey-Hailey

A

Hailey-Hailey
Zones d’acantholyse étendues
Peu de dyskératose

19
Q

DDx histologique Hailey-Hailey (3)

A

Darier
Grover
Pemphigus vulgaire (IFD)

20
Q

DDx clinique Hailey-Hailey (10+)

A

Génétique
Darier
Galli-Galli

Intertrigo
Infectieux
Candidose
Tinea cruris
Érythrasma

Inflammatoire
Intertrigo NS
Psoriasis inverse
bordures mieux délimitées
moins d’érosions
moins de croûtes
atteinte unguéale
DS
Dermatite de contact
irritative
allergique
Parakératose granulaire axillaire
Dyskératose acantholytique papuleuse de la vulve
LSC

Bulloses
Pemphigus vegetans (Hallopeau)
Pemphigoïde vegetans

21
Q

Atteinte unguéale Hailey-Hailey

A

Leuconychie triée longitudinale

22
Q

Indices pour suspecter surinfection Hailey-Hailey (2)

A

Lésions végétantes ou malodorantes (bactéries, mycoses)
Éruption de vésiculopustules ou érosions monomorphes (HSV)

23
Q

Particularité de cette présentation histologique

A

Mur de brique dilapidé
Hailey-Hailey
Acantholyse diffuse sans dyskératose

24
Q

Traitement surinfection Hailey-Hailey

A

Prévention avec nettoyants antimicrobiens

Léger
Bid à qid x 2-4 semaines
Clindamycine 1%
Gentamicine 0.1%
Mupirocin 2%
Ketoconazole 2%

Sévère ou réfractaire
Doxycycline 100 mg die

25
Posologie naltrexone pour Hailey-Hailey
**Naltrexone** 3 à 4.5 mg/jour *Efficacité* Ad 80-90% en 3-4 mois
26
Posologie chlorure de magnésium pour Hailey-Hailey
**Chlorure de magnésium** 70 mL de 33 mg de MgCl2 dissout dans 1L d'eau die x 4-6 mois (3 cas) *Niveaux Mg sérique pré-post traitement N*
27
Posologie toxine botulinique A pour Hailey-Hailey
**Toxine botulinique A** Dosages variables 50-100U par site *Efficacité* À 1 mois réponse complète 66.7% réponse partielle 20% À 6 mois réponse complète 23.3% réponse partielle 50% Intérêt de combiner avec alitrétinoïne et répéter injections toxine botulinique
28
Mécanisme toxine botulinique A pour Hailey-Hailey
Bloque relâche ACh par fibres nerveuses sympathiques stimule glandes sudoripares **= diminution transpiration et diminution exacerbations lésions et surinfections bactériennes**
29
Utilisation laser CO2 Hailey-Hailey
**Anesthésie locale** Mode continu Puissance 5-25W Spot 1-9 mm 1-5 passages (3+) *Endpoint : visualiser derme normal (tissu jaunâtre avec saignement ponctué)* **Guérison** 1-4 semaines **Efficacité** 43% peau normale ou pas de récidive 8% récidive en périphérie de la région traitée 8% récidive minimale 26% amélioration > 50% 8% amélioration < 50% 4% aucune amélioration **Effets secondaires** Douleur, érythème et oedème post-traitement
30
Utilisation dermabrasion Hailey-Hailey
**Destruction de l'épiderme superficiel** *Épargne annexes pour ré-épithélialisation* Brosse métallique ou meule en diamant
31
Approche traitement Hailey-Hailey