Psoriasis Flashcards

(73 cards)

1
Q

Comorbidités psoriasis (5+)

A

Arthrite psoriasique
Uvéite
Dépression
MII
Syndrome métabolique
Obésité
Maladie cardiovasculaire
Néoplasies (PUVA - CSC)

*tabagisme avec psoriasis pustuleux

How well did you know this?
1
Not at all
2
3
4
5
Perfectly
2
Q

Types d’arthrite psoriasique (5)

A

Mono et oligoarthrite asymétrique (#1)
Arthrite des IPD
PAR-like
Arthrite mutilans
Spondylite et sacroiliite

How well did you know this?
1
Not at all
2
3
4
5
Perfectly
3
Q

Traitements approuvés pour arthrite psoriasique (5+)

A

Efficaces pour psoriasis
Ustekinumab
Guselkumab
TNFi
Apremilast
Methotrexate
Ixekizumab
Secukinumab

Non efficaces pour psoriasis
Upadacitinib
Tofacitinib
Abatacept

How well did you know this?
1
Not at all
2
3
4
5
Perfectly
4
Q

Association HLA en psoriasis (2)

A

HLA-Cw6
psoriasis précoce
HLA-B27
sacroiliite
arthrite réactive

How well did you know this?
1
Not at all
2
3
4
5
Perfectly
5
Q

Facteurs déclencheurs du psoriasis (6+)

A

Extrinsèque
Koebner (phénomène isomorphique) (25%)
2-6 semaines avant apparition des lésions

Intrinsèque
Infections
bactériennes (streptocoque surtout pharyngé)
VIH
Endocriniens
hypocalcémie
grossesse (améliore chez 50%)
Stress psychogénique
Médication
lithium
IFN
BB
antimalariques
CS sevrage rapide
TNFi

*tabagisme avec psoriasis pustuleux

How well did you know this?
1
Not at all
2
3
4
5
Perfectly
6
Q

Médication associée au développement de psoriasis (5+)

A

Lithium
IFN
BB
Antimalariques
CS sevrage rapide
TNFi

Autres
IECA
AINS
Inh PD-1
Inh CTLA4

How well did you know this?
1
Not at all
2
3
4
5
Perfectly
7
Q

Variantes de psoriasis (6+)

A

En plaques (vulgaire)
En gouttes
Rupoïde
Érythrodermique
Psoriasis pustuleux
GPP (aigu Von Zumbusch, grossesse)
annulaire
(exanthémateux)
localisé

Localisation
Inverse
Unguéal
Cuir chevelu
Oral (annulus migrans)
Palmoplantaire

Arthrite psoriasique

How well did you know this?
1
Not at all
2
3
4
5
Perfectly
8
Q

Calcul du PASI (4)

A

Score 0 à 72

Calcul
1) Calculer portion atteinte de chaque section du corps
2) Additionner les scores de sévérités pour chaque section du corps
3) Multiplier 1), 2) et facteur de modification selon le site
4) Additionner les nombres obtenus pour chaque section du corps
= PASI

Sections du corps
Tête
Tronc (inclut OGE)
MS
MI (inclut fesses)

Sévérité : 0 à 4 pour chacun des éléments, additionner pour chaque section
Érythème
Induration
Desquamation

BSA : 0 à 6 chacun pour chaque section
0 : 0%
1 : < 10%
2 : 10 à < 30%
3 : 30 à < 50%
4 : 50 à < 70%
5 : 70 à < 90%
6 : 90-100%

Facteurs de modification pour le site
Tête : 0.1
Tronc : 0.3
MS : 0.2
MI : 0.4

How well did you know this?
1
Not at all
2
3
4
5
Perfectly
9
Q

DDx clinique pityriasis amiantacé (4+)

A

Psoriasis du cuir chevelu (#1)
Dermatite séborrhéique
DA surinfectée
Tinea capitis
(Darier)

How well did you know this?
1
Not at all
2
3
4
5
Perfectly
10
Q

Proportion des patients avec psoriasis qui ont une atteinte unguéale

A

10-80%

*doigts > orteils
*risque accru d’avoir arthrite psoriasique

How well did you know this?
1
Not at all
2
3
4
5
Perfectly
11
Q

Types d’atteinte unguéale de psoriasis selon la localisation anatomique (8+)

A

Matrice de l’ongle
Proximale : pitting (hyperkératose), onychorrhexie, ligne de Beau

Intermédiaire : leuconychie

Distale : onycholyse focale, plateau aminci, érythème de la lunule

Lit de l’ongle
Tache d’huile (exocytose de leucocytes sous le plateau)
Salmon patch (exocytose de leucocytes sous le plateau)
Hyperkératose sous unguéale
Onycholyse
Hémorragies en flammèche

Hyponychium
Hyperkératose sous unguéale
Onycholyse

Plateau
Crumbling et destruction du plateau

Repli
Cutané

How well did you know this?
1
Not at all
2
3
4
5
Perfectly
12
Q

Types d’atteinte unguéale de psoriasis si matrice affectée (7)

A

Proximale
Pitting (hyperkératose)
Onychorrhexie
Ligne de Beau

Intermédiaire
Leuconychie

Distale
Onycholyse focale
Plateau aminci
Érythème de la lunule

How well did you know this?
1
Not at all
2
3
4
5
Perfectly
13
Q

Proportion des patients avec psoriasis qui ont une arthrite psoriasique

A

5-30%

*5-10% ont arthrite psoriasique avant lésions cutanées

How well did you know this?
1
Not at all
2
3
4
5
Perfectly
14
Q

Facteurs de risque pour arthrite psoriasique sévère (5)

A

Présentation en jeune âge
Sexe F
Atteinte polyarticulaire
Prédisposition génétique
Signes radiographiques précoces

How well did you know this?
1
Not at all
2
3
4
5
Perfectly
15
Q

Signes radiologiques d’arthrite psoriasique (1)

A

Pen in a cup
Changements érosifs
surviennent des années après inflammation péri-articulaire

How well did you know this?
1
Not at all
2
3
4
5
Perfectly
16
Q

Signes associés à arthrite psoriasique (4)

A

Dactylite (15-30%)
Enthésite (20%)
Tendinite

*atteinte unguéale de psoriasis

How well did you know this?
1
Not at all
2
3
4
5
Perfectly
17
Q

Description de l’arthrite réactive (Reiter) (5+)

A

Can’t pee, can’t see, can’t climb a tree : pipi, yeux, articulations

H > F
HLA-B27
Auto-résolutif sur semaines à mois

Infectieux : C. trachomatis, shigellose, (VIH)

Uréthrite
complications : cystite, cervicite, salpingite
Arthrite
polyarthrite
sacroiliite
Signes oculaires
conjonctivite
irite
uvéite avec glaucome
kératite
Ulcères buccaux

Lésions cutanées (5%) : plantes, extenseurs des jambes, pénis, dos des mains, doigts, ongles, cuir chevelu
keratoderma blennorrhagicum
balanite circinée

How well did you know this?
1
Not at all
2
3
4
5
Perfectly
18
Q

Description Sneddon-Wilkinson (3+)

A

Pas d’épidémiologie particulière
Pathogenèse inconnue

Lésions cutanées annulaires ou polycycliques
Début dans les zones de flexion

Pustules stériles sous-cornéennes (très superficielles)
parfois démarcation gravité vésiculopustules

Évolution avec desquamation superficielle puis formation de nouvelles pustules

Association avec paraprotéinémie IgA

*répond à dapsone

How well did you know this?
1
Not at all
2
3
4
5
Perfectly
19
Q

DDx histologique pustules sous-cornéennes (12)

A

Impétigo
Candidose superficielle
Infection à dermatophyte
Folliculite superficielle
PF, pemphigus erythematosus
Pemphigus IgA
Sneddon-Wilkinson
Psoriasis pustuleux
AGEP
Pustulose amicrobienne des plis
Mélanose pustuleuse transitoire néonatale
Acropustulose infantile

How well did you know this?
1
Not at all
2
3
4
5
Perfectly
20
Q

DDx causes fréquentes d’érythrodermie (6)

A

Psoriasis
MF et Sézary
PRP
Éruption médicamenteuse
DA
Idiopathique

How well did you know this?
1
Not at all
2
3
4
5
Perfectly
21
Q

DDx clinique papulosquameux en gouttes (6)

A

Psoriasis en gouttes
Parapsoriasis en petites plaques
PLC
Syphilis secondaire
PR
Tinea corporis
Tinea versicolor
Pemphigus foliacé

How well did you know this?
1
Not at all
2
3
4
5
Perfectly
22
Q

DDx clinique intertrigo (8)

A

Psoriasis
DS
DCA
Candidose
Tinea incognito
Dermatophytose (tinea cruris)
Érythrasma
Paget extra-mammaire
Histiocytose Langerhansienne

How well did you know this?
1
Not at all
2
3
4
5
Perfectly
23
Q

DDx clinique papulosquameux (9)

A

Psoriasis
DS
DM
CSCis (Bowen, érythroplasie de Queyrat)
MF
Eczéma (PP)
LP hypertrophique (prétibial)
Parapsoriasis
Syphilis

How well did you know this?
1
Not at all
2
3
4
5
Perfectly
24
Q

DDx clinique pustules palmo-plantaires (5)

A

Psoriasis pustuleux palmo-plantaire
Pustulose palmoplantaire
Acrodermatite continue de Hallopeau
Arthrite réactive (Reiter)
Eczéma dishydrotique

How well did you know this?
1
Not at all
2
3
4
5
Perfectly
25
DDx clinique pustules sur plaques érythémateuses (10+)
**Rx** AGEP Éruption médicamenteuse pustuleuse (DRESS) **Inflammatoire et bulloses** GPP Sneddon-Wilkinson PF Pemphigus à IgA **Infectieux** Folliculite superficielle Infection à dermatophyte Candidose (Impétigo) **Pédiatrique** Mélanose pustuleuse transitoire néonatale Acropustul;ose infantile
26
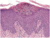
Histologie générale du psoriasis (7)
Acanthose avec allongement des crêtes épidermiques (Spongiose variable) Hypogranulose Hyper et parakératose Vaisseaux sanguins dilatés Infiltrat périvasculaire de lymphocytes avec neutrophiles neutrophiles seuls ou en agrégats dans l'épiderme *microabcès de Munro = résidus de neutrophiles dans la couche cornée entourés de parakératose *pustule spongiforme de Kogoj = neutrophiles dans une pustule spongiotique
27
Pustule spongiforme de Kogoj
Neutrophiles dans une pustule spongiotique de l'épiderme
28
Microabcès de Munro
Résidus de neutrophiles dans la **couche cornée** entourés de parakératose
29
Traitements topiques en psoriasis (8)
Corticostéroïdes topiques Analogues de vitamine D topiques calcitriol 3 mcg/g (Silkis) calcipotriène 0.005% (Dovonex) Roflumilast topique (Zoryve 0.3%) Anthraline 1 ou 2% Rétinoïdes topiques tazarotène Acide salicylique 5-10% Goudron Inhibiteurs de calcineurine pimecrolimus tacrolimus Tapinarof topique 1% **Combinaisons** Bethametasone dipropionate et calcipotriène (Dovobet, Enstilar) CS et tazarotène (Duobrii)
30
Contre-indications et effets secondaires des traitements topiques en psoriasis (5)
**Analogues de vitamine D** CI : visage, < 2 ans E2 : irritation, hypercalcémie **Rétinoïdes** CI : psoriasis érythrodermique, grossesse, psoriasis instable BSA maximale 20% E2 : irritation **Roflumilast** Diarrhées **Anthraline** CI : psoriasis érythrodermique, grossesse, psoriasis instable **Goudron** CI : grossesse et allaitement
31
Contre-indications photothérapie (5)
**Absolues** *PUVA et UVB sauf si spécifié* Maladies génétiques avec cancers de peau ou augmentation de la photosensibilité XP, porphyries >150-200 traitements de PUVA (PUVA seulement) CSA Cancer cutané actif Grossesse ou allaitement (PUVA seulement) **Relatives** AP cancer cutané Phototype 1 Dermatoses photosensibles Médication topique ou systémique photosensibilisante Vitiligo AP exposition arsenic, radiation ionisante ou photothérapie excessive Médication immunosuppressive Naevi mélanocytaires multiples Épilepsie ou trouble convulsif Âge de procréer sans contraception (PUVA) Mauvaise compliance (PUVA) Fonction hépatique altérée ou médication hépatotoxique (PUVA) Cataractes (PUVA)
32
Traitements systémiques en psoriasis (11+)
**Non biologiques** MTX CSA Rétinoïdes systémiques (acitrétine) **Biologiques** Apremilast (inhibiteur PDE4) Deucravacitinib (inhibiteur TYK-2) TNFi etanercept infliximab adalimumab certolizumab pegol golimumab Inhibiteurs IL-17 secukinumab brodalumab ixekizumab bimekizumab Inhibiteurs IL-23 guselkumab risankisumab tildrakizumab ustekinumab (IL-12/23) **Photothérapie** NB-UVB (311 nm) Excimer (308 nm) PUVA **Autres** Fumarates MMF 6-TG Hydroxyurée Calcitriol oral
33
Formulations avec goudron topique (2)
**Shampooing** T-Gel Sebcur DHS Psoriasin **Magistrales** Goudron 2 ou 3% dans triamcinolone 0.1% crème Liquor carbonis detergens 4 à 10% dans triamcinolone crème ou onguent
34
Formulations des analogues de vitamine D topique (2)
Calcipotriol / calcipotriène 0.005% onguent (Dovonex) application bid Calcitriol 0.003% onguent (Silkis) application bid
35
Effets secondaires d'anthraline topique (3)
Irritation cutanée Taches permanentes rouge-brun des vêtements Taches temporaires de la peau
36
Formulations et posologie d'anthraline topique (2)
**Shampooing** 1% USA (Zithranol) - 3-4x semaine - laisser sur le cuir chevelu 3-5 minutes avant de bien rincer **Magistrales** Application short-contact à titrer selon la tolérance du patient - nettoyer ensuite - bénéfices en quelques semaines 0.1 à 0.25% pour 10 à 20 minutes die - augmentation de la durée q semaine (ad maximum 1h) - augmentation ensuite de la concentration q semaine (0.5, 1, et 2%) Protection de la peau autour avec gelée de pétrole ou oxyde de zinc
37
Effets secondaires des fumarates (7)
Atteinte rénale Flushing Troubles GI Céphalées Fatigue Syndrome de Fanconi Progressive multifocal leucoencephalopathy (rare)
38
Biologiques les plus efficaces en psoriasis (4)
Risankizumab (IL-23) Brodalumab (IL-17) Ixekizumab (IL-17) Guselkumab (IL-23)
39
Traitements de psoriasis à ne pas combiner (5)
**CSA** CSA et acitrétine risque d'accumulation de CSA acitrétine inhibe P450 (alors que P450 élimine CSA) CSA et PUVA (ensemble ou consécutif) risque CSC accru CSA et MTX double immunosuppression (mais a déjà été utilisée dans le passé) **Goudron** Goudron et PUVA phototoxicité **MTX** MTX et acitrétine hépatotoxicité importante
40
Approche pour psoriasis en pédiatrie
**Topiques** Calcipotriène CS Tacrolimus 0.1% onguent Anthraline **Photothérapie** **Systémique** MTX Rétinoïdes pour psoriasis pustuleux ou érythrodermique (CSA) (Etanercept et biologiques)
41
Efficacité des systémiques non biologiques en psoriasis (5)
*PASI75* Acitretine 23% Apremilast 33% CSA 52% (2.5-3 mg/kg) varie selon la dose Deucravacitinib 58% MTX 60%
42
Doses maximales analogues de vitamine D topique (2)
**Calcipotriol / calcipotriène** *0.005% onguent* (Dovonex) 100 g **Calcitriol** *0.003% onguent* (Silkis) 200 g
43
Maladies avec Koebner (6+)
Psoriasis Vitiligo LP Lichen nitidus CSVV Still Xanthomes éruptifs
44
DDx clinique psoriasis (15+)
ILVEN Arthrite réactive de Reiter Tinea corporis Lupus subaigu Parapsoriasis en petites plaques Parapsoriasis en larges plaques MF PLEVA Syphilis secondaire Pityriasis rosé **Pustules sous-cornéennes** Sneddon-Wilkinson AGEP Pemphigus foliacé **Autres** Lichen plan MF Dermatite atopique Eczéma nummulaire Hailey-Hailey Pemphigoide (Brunsting Perry)
45
Classification psoriasis pustuleux
**Localisé** Pustulose palmo-plantaire Acrodermatite continue de Hallopeau Plaques (parsemées de pustules) irritatif localisé (goudron, anthraline) **Généralisé** Aigu Chronique (annulaire) Grossesse (impetigo herpetiformis) Infantile
46
Bilans GPP (5+)
SV : TA, FC FSC CRP Hépatique Rénal calcium et albumine Biopsie et IFD Culture des pustules **Si pharyngite** : ASLO **Si fièvre** : cultures et bilan septique **Considérer** bHCG Pré-immunosuppression Génétique (< 30 ans) *hospitalisation si : fièvre, instabilité SV, débalancement électrolytique, atteinte rénale ou hépatique
47
Approche traitement GPP
**Léger** Rétinoïdes systémiques acitrétine 25+ mg MTX ad 25 mg PO/SC Adjuvants topiques photothérapie **Sévère** Hospitalisation et gestion des complications Biologiques TNFi IL-17 ou 23 IL-36 Combinaisons : acitrétine ou MTX *hospitalisation si : fièvre, instabilité SV, débalancement électrolytique, atteinte rénale ou hépatique
48
Traitement GPP
**Topiques** : insuffisant en monothérapie **Systémiques** Acitretin : 0.5-1 mg/kg/jour (maintien à 10-30) (isotrétinoïne) Immunomodulateurs classiques MTX CSA (MMF) (apremilast) Biologiques inhibiteurs TNF : infliximab, adalimumab inhibiteurs IL-17 : secukinumab, ixekizumab, brodalumab inhibiteurs IL-23 : risankizumab, guselkumab inhibiteur IL-36 : **spesolimab** (inhibiteurs IL-1 : anakinra) **Autres** Photothérapie Aphérèse de granulocytes et monocytes *CS augmentent mortalité
49
DDx clinique ACH
**DC aigue** Vésicules > pustules Atteinte palmaire ou plantaire **Paronychie bactérienne ou virale** *Bactérie* Moins de récidives *Virale* (HSV) Récidives Guérison complète entre les épisodes **Onychomycose** (moisissure non-dermatophytes) Inflammation périunguéale ou sous-unguéale Écoulement purulent Orteils
50
Anomalies unguéales avec psoriasis (10+)
**Matrice** Criblures (pitting) (70%) parakératose matrice proximale Lignes de Beau (dépressions transverses) Onychomadèse Trachyonychie Leuconychie (44%) parakératose matrice moyenne à distale Changements de la lunule dilatation des vaisseaux dans la matrice macules rouges lunule rouge ou marbrée **Lit** Taches d'huiles (47%) plaque de psoriasis du lit Onycholyse (80%) érythème de la marge proximale Hyperkératose sous-unguéale parakératose accumulée marge libre distale Hémorragies en flammèche (23%) extravasation GR de capillaires dilatés équivaut signe Auspitz Chromonychie blanc argent = parakératose débris sous-unguéaux jaune vert = accumulation de glycoprotéines avec inflammation du lit et hyponychium **Totale** Dystrophie totale de l'ongle **Replis** Paronychie psoriasique épaississement du repli perte du cuticule
51
Technique injection IM triamcinolone acetonide
**Injection profonde** (aiguille 4 cm) Quadrant externe du muscle fessier (évite atrophie) Alterner sites d'injection subséquents photographies des sites d'injections **Quadrant** Imaginer ligne du bas des fesses au dessus de la crête iliaque Imaginer autre ligne du haut du pli interfessier à la hanche = délimite carré Injecter dans quadrant supéro externe Prendre muscle entre pouce et index Pousser rapidement et fermement aiguille dans le muscle (90 degrés) Pousser Rx Retirer ligne droite
52
DDx clinique psoriasis unguéal
**Onychomycose** Signe de l'aurore boréale Examen mycologique Hyperkératose sous unguéale et dyschromie **Onycholyse traumatique** Pas d'érythème autour de l'onycholyse Absence d'hyperkératose sous-unguéale Bordure proximale linéaire **AA** Criblures de petite taille à distribution géométrique Onychomadèse Trachyonychie Leuconychie Lunule rouge **Acrokératose paranéoplasique** (Bazex) Éruption psoriasiforme à distribution acrale Atteinte caractéristique du nez et des oreilles **PRP** Hyperkératose sous ungu.ale Hémorragies en flammèche Dyschromie Paronychie **LP** Trachyonychie Onycholyse Hyperkératose sous-unguéale Fissures Lunule marbrée **CSC** Isolé
53
NAPSI
**Rechercher atteinte matrice** (0 ou 1 par ongle) Pitting Leuconychie Points rouges de la lunule Crumbling du plateau unguéal *Multiplier par nombre de quadrants affectés par ongle* (0-4 par ongle) *Additionner pour tous les ongles* **Rechercher atteinte lit de l'ongle** (0 ou 1 par ongle) Onycholyse Taches d'huile Hémorragies sous-unguéale Hyperkératose sous-unguéale *Multiplier par nombre de quadrants affectés* (0-4 par ongle) *Additionner pour tous les ongles* **Sévérité NAPSI** (par ongle max 8 points) Léger 1-3 Modéré 4-6 Sévère 7-8 Total = 0 à 160 points
54
Conseils de base psoriasis unguéal (3)
*Pas de traitement pour leuconychie légère/taches d’huile/quelques ponctuations* **Éviter traumatisme** Morsure, déchirure Lime tangentielle Pose et retrait fréquents de produits cosmétiques Contact fréquent avec l’eau Ongles artificiels ou en gel Couper, mordre ou tirer le cuticule Talons hauts ou souliers étroits Garder ongles courts **Protection** Gants de coton pour travail manuel sec Gants de coton sous gants en vinyl pour travail humide **Ajustement des souliers ou orthèse si déformation anatomique**
55
Algorithme psoriasis unguéal
**< 3 ongles** **3+ ongles**
56
Techniques injection locale triamcinolone acetonide ongles (3)
TAC 5-10 mg/mL maximum 0.1-0.5 mL dans la matrice ou par quadrant injection doit blanchir le lit ou la matrice répéter q 4-8 semaines 3-6 injections (espacer si efficace) **De Berker** Injection de la matrice et du lit de l'ongle à partir des versants latéraux angle vers le haut **Richert** Injection de la matrice et du lit de l'ongle à partir de l'hyponychium matrice droit lit de l'ongle en angle vers le côté *Richert inversé* Injection à départ du repli unguéal proximal pour atteinte matrice **Grover** Injection de la matrice en latéral Injection du lit de l'ongle à partir du repli unguéal proximal
57
Doses acitrétine pour psoriasis unguéal
0.2 à 0.4 mg/kg/jour x > 6 mois *Efficacité* À 0.3 mg/kg x 6 mois NAPSI diminue de 41% résolution complète chez 25%
58
Doses CSA pour psoriasis unguéal
5 mg/kg/jour x > 6 mois *Efficacité* À 6 mois NAPSI diminue de 37.2% plus efficace pour atteintes du lit
59
Doses MTX pour psoriasis unguéal
15 mg/semaine x > 6 mois *Efficacité* À 6 mois NAPSI diminue de 43.3% plus efficace pour atteintes matrice
60
Modalités systémiques pour psoriasis unguéal
Acitrétine MTX (CSA) Anti-TNF Anti-IL-17 Anti-IL-23 et 12/23 JAKi Inhibiteur PDE4
61
Efficacité des biologiques pour psoriasis unguéal
Similarité anti-TNF, IL-17, IL-23 à court terme Bénéfice IL-17 et IL-23 à **long terme**
62
Traitements locaux psoriasis unguéal
**Topiques** (occlusion à éviter, max 1 mois) *Matrice = repli unguéal proximal* *Lit = couper ongle court et appliquer hyponychium* CS très puissants Analogues vitamine D calcipotriol 0.005% Combinaisons calcipotriol/CS Tazarotène gel 0.05% Tacrolimus 0.1% onguent Clobétasol 8%, DMSA 60% dans base PEG400 avec agent gélifiant Lindioil (huile indigo naturalis Qing Dai) bid diminution NAPSI 51.3% à 24 semaines **IL** (requiert bloc si lit) TAC 5-10 mg/mL q 4-8 semaines x 3-6 injections MTX 2.5 mg x 2 espacé 6 semaines (CSA)
63
Stratégies pour augmenter efficacité des traitements topiques (2)
Alcool ou polyethylene glycol dans le véhicule Couper l’ongle onycholytique *éviter méthodes destructives (laser ablatif, percer des trous, etc)
64
Proportion psoriasis unguéal sans atteinte cutanée
5-10%
65
Associations avec psoriasis unguéal (4)
Arthrite psoriasique Psoriasis sévère (PASI élevé) AF Tabagisme
66
Signes psoriasis unguéal associé à arthrite psoriasique (3)
Onycholyse Hyperkératose sous-unguéale Criblures (pitting)
67
Complications posibles ACH (3)
Ostéite des phalanges Sclérose des tissus mous sous-jacents Atrophie musculaire
68
Traitement ACH
**Initial** MTX Acitrétine (CSA) **Biologiques** TNFi Anti-IL-17 Anti-IL-23 et 12/23
69
Variantes psoriasis unguéal (5)
ACH Acropustulose repens Psoriasis pustuleux palmo-plantaire (66% atteinte unguéale) Papulose psoriasiforme acrale hémisphérique Pachydermopériostite psoriasique
70
Signes classiques de psoriasis unguéal (3)
Criblures irrégulières (pitting) Taches d'huiles (salmon patch) Onycholyse avec bordure érythémateuse
71
Anomalies unguéales avec ACH
*Acrodermatite continue de Hallopeau* **Ongles** (souvent unique) Pustules sous-unguéales Onychodystrophie Onychomadèse Onycholyse Anonychie **Général** *Épisodes récurrents* Érythème localisé à l'extrémité d'un doigt Pustules cutanées et sous-unguéales confluentes lacs de pus polycycliques Extension proximale possible
72
DDx clinique intertrigo (15+)
**Infectieux** Candidose Tinea cruris Erythrasma Streptocoque SSSS débutant **Inflammatoire** Psoriasis inverse Pityriasis rosé inverse (PR) DS Parakératose granuleuse DCA systémique Intertrigo frictionnel / irritatif Pemphigus végétans Pemphigoïde végétans Crohn cutané **Génodermatoses** Hailey-Hailey Galli-Galli Darier Acrodermatite entéropathique **Médicamenteux** SDRIFE AGEP FDE DRESS HEN Érythème toxique de la chimiothérapie intertrigineuse **Néoplasique** Paget extra-mammaire MF Histiocytose langerhansienne **Autres** Érythème migratoire nécrolytique Acrodermatite entéropathique Dermatoses nutritionelles Dyskératose acantholytique papuleuse de la vulve Érythème acral nécrolytique
73
DDx clinique dermatite zone de la couche (13)
*Les plus fréquents : DCI, candidose, DS* **Infectieux** Candidose Infections bactériennes impétigo bulleux dermatite périanale et intertrigo streptococcique Dermatophytose Syphilis **Inflammatoire** Dermatites de contact DCI DCA : sorbitan sesquioleate (émulsifiant des crèmes pour couche), fragrances, teintures disperse, additifs du caoutchouc (mercaptobenzothiazole), agents de conservation des lingettes (iodopropynyl butylcarbamate), MCI/MI (anciennement) DS Psoriasis DA **Autres** Acrodermatite entéropathique Autres dermatoses nutritionnelles Histiocytose langerhansienne Kawasaki précoce EB inverse PB vulvaire