Leishmaniose Flashcards

(45 cards)

1
Q

Protozoaires avec manifestations cutanées (4+)

A

Leishmaniose
Amibes
Entamoeba histolytica
Balamuthia mandrillaris
Trypanosomiases
Chagas (T. cruzi)
maladie du sommeil (T. brucei)
Toxoplasmose

How well did you know this?
1
Not at all
2
3
4
5
Perfectly
2
Q

Vers avec manifestations cutanées (5+)

A

Larva migrans (Ancylostoma braziliense, Ancylostoma caninum et autres)
Strongyloïdose (Strongyloides stercoralis)
Gnathostomiase
Onchocercose
Filariose
Schistosomiase
swimmer’s itch
Cysticercose
Echinococcose

How well did you know this?
1
Not at all
2
3
4
5
Perfectly
3
Q

Sous-types cliniques de Leishmania (4)

A

Cutanée
vieux monde

Disséminée cutanée
nouveau monde

Mucocutané ou muqueux
nouveau monde

Leishmaniase viscérale
organes phogocytes mononucléés (foie, rate)

How well did you know this?
1
Not at all
2
3
4
5
Perfectly
4
Q

Transmission leishmaniose

A

Mouche de sable
Phlebotomus (Old World)
Lutzomyia (New World)

Old World
Leishmania donovani
Leishmania infantum (Europe)
Leishmania major
Leishmania tropica
Leishmania aethiopica (Ethiopia, Kenya)

New World
Leishmania mexicana
Leishmania braziliensis

How well did you know this?
1
Not at all
2
3
4
5
Perfectly
5
Q

Réservoirs Leishmania (2)

A

Canins
Rongeurs

How well did you know this?
1
Not at all
2
3
4
5
Perfectly
6
Q

Classification Leishmania

A

Leishmania donovani
L. donovani
L. infantum
L. infantum chagasi

Leishmania tropica
L. major
L. tropica
L. aethiopica

Leishmania mexicana
L. mexicana
L. amazoniensis
(L. venezuelensis)
(L. pifanoi)
(L. garnhami)

Leishmania braziliensis
L. braziliensis
L. guyanensis
L. panamensis
L. peruviana

How well did you know this?
1
Not at all
2
3
4
5
Perfectly
7
Q

Pathogènes principaux leishmania old world (4)

A

Leishmania major (Afrique, Moyen Orient, Asie centrale)
rural
ulcération précoce

Leishmania tropica (Méditerranée, Moyen Orien, Afrique centrale)
urbain
ulcération tardive

Leishmania infantum (Europe Méditerranée)

Leishmania aethiopica (Ethiopia, Kenya)

How well did you know this?
1
Not at all
2
3
4
5
Perfectly
8
Q

Pathogènes principaux leishmania new world (4)

A

Leishmania mexicana
Leishmania braziliensis

How well did you know this?
1
Not at all
2
3
4
5
Perfectly
9
Q

Pathogène le plus fréquent leishmania cutanée diffuse

A

Leishmania amazoniensis

How well did you know this?
1
Not at all
2
3
4
5
Perfectly
10
Q

Pathogènes principaux leishmaniose viscérale (2+)

A

Leishmania donovani (Inde, Bangladesh, Soudan)

Leishmania infantum (Europe) (VIH)
L. infantum chagasi (Amérique centrale, Amérique du Sud)

How well did you know this?
1
Not at all
2
3
4
5
Perfectly
11
Q

Pathogènes principaux leishmaniose post-kala azar (PKD) (3+)

A

Leishmania donovani
>
Leishmania infantum
Leishmania infantum chagasi
L. amazonensis

How well did you know this?
1
Not at all
2
3
4
5
Perfectly
12
Q

Pathogenèse leishmaniose

A

Promastigotes
Intestins mouche des sables
Multiplication extra-cellulaire des organismes

Migration au proboscis
Inoculation

Phagocytose par phagocytes mononucléés
Amastigotes
Multiplication par fission binaire

Incubation
Cutané 2 semaines à 2 mois (peau)
Viscéral 2+ ans (souvent 3-9 mois)

Réponse de l’hôte
Immunité à médiation cellulaire
Th1 (IL-2, IFN-gamma) résolution
formation de L-citrulline et NO par NO synthase
augmente résistance inflammasome IL-1β NLRP3

Th2 (IL-4, IL-10) progression de la maladie
catabolisme L-arginine par arginase
production L-ornithine
favorise croissance parasitaire

IFN-gamma
Macrophages et NK
IL-12 stimule NK à produire IFN-gamma
IFN-gamma active phagolysosomes
ROS
activation CD4+ naïfs (voie Th1)

Production TNF

Mucocutané
Infection Leishmania par Leishmania RNA virus-1
reconnu par TLR3
cascade pro-inflammatoire qui transforme la réponse immune à Leishmania

How well did you know this?
1
Not at all
2
3
4
5
Perfectly
13
Q

Incubation leishmaniose

A

Cutané 2 semaines à 2 mois (peau)

Viscéral 2+ ans (souvent 3-9 mois)

How well did you know this?
1
Not at all
2
3
4
5
Perfectly
14
Q

Distribution leishmaniose cutanée (5)

A

Amérique centrale
Brésil
Méditerranée
Moyen Orient
Afrique aride

Old World
Afghanistan
Algérie
Iran
Iraq
Arabie saoudite
Syrie

New World
Brésil
Pérou
Colombie

How well did you know this?
1
Not at all
2
3
4
5
Perfectly
15
Q

Pays avec la plus grande incidence de leishmaniose cutanée (5+)

A

Old World
Afghanistan
Algérie
Iran
Iraq
Arabie saoudite
Syrie

New World
Brésil
Pérou
Colombie

How well did you know this?
1
Not at all
2
3
4
5
Perfectly
16
Q

Pays avec la plus grande incidence de leishmaniose mucocutanée (3)

A

Bolivie
Brésil
Pérou

How well did you know this?
1
Not at all
2
3
4
5
Perfectly
17
Q

Distribution leishmaniose viscérale (4+)

A

Brésil
Afrique
Méditerranée
(Moyen Orient)
Asie centrale

Pays avec la plus grande incidence
Brésil
Éthiopie
Inde
Kenya
Somalie
Soudan
Soudan du sud

How well did you know this?
1
Not at all
2
3
4
5
Perfectly
18
Q

Pays avec la plus grande incidence de leishmaniose viscérale (7)

A

Brésil
Éthiopie
Inde
Kenya
Somalie
Soudan
Soudan du sud

How well did you know this?
1
Not at all
2
3
4
5
Perfectly
19
Q

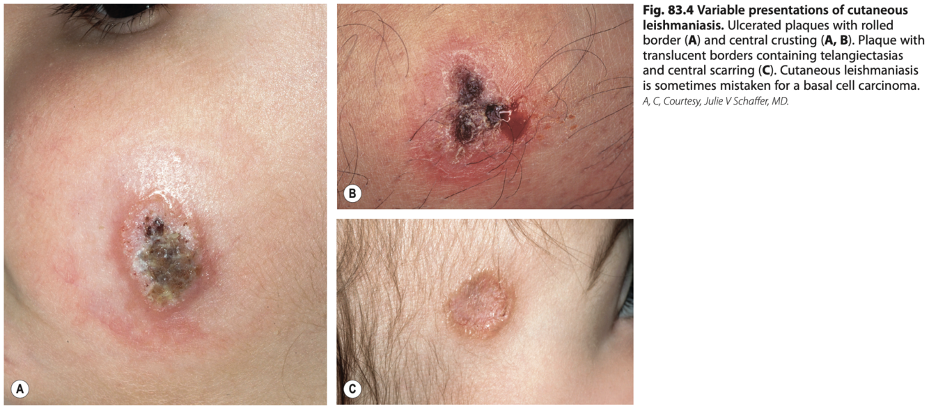
Description leishmaniose cutanée

A

Ulcération aux sites exposés
Solitaire ou multiple (satellites, sporotrichoïde)
Visage, cou, bras, jambes
papule, puis nodule ou plaque bien délimitée au site d’inoculation
augmentation en taille lente, sur plusieurs semaines

Résolution spontanée en plusieurs mois avec cicatrice
minorité devient chronique ou disséminée

Old World
Zoonotique (rurale, humide, ulcération précoce)
Anthroponotique (urbaine, sèche, ulcération tardive)
Récidivante
Lupoïde
similaire à lupus vulgaire (TB cutanée)

New World
Plaque
Sporotrichoïde
Pustuleuse
Impétigo-like
Eczématiforme
Sarcoïdosique
Lupoïde
Érysipéloïde
Papulotubéreux
Verruqueuse
Disséminée
Diffuse

20
Q

Variantes cliniques leishmaniose cutanée Old World (4)

A

Zoonotique (rurale, humide, ulcération précoce)
L. major
léger
évolution rapide

Anthroponotique (urbaine, sèche, ulcération tardive)
L. tropica
évolution plus chronique

Récidivante
chronique ou destructrice
récidive au site d’un ulcère original en < 2 ans

Lupoïde
évolution d’anthroponitique > zoonotique
similaire à lupus vulgaire (TB cutanée)
peu d’amastigotes

21
Q

Variantes cliniques leishmaniose cutanée New World (4)

A

Plaque
Sporotrichoïde
Pustuleuse
Impétigo-like
Eczématiforme
Sarcoïdosique
Lupoïde
Érysipéloïde
Papulotubéreux
Verruqueuse
Disséminée
Diffuse

22
Q

Description leishmaniose cutanée disséminée

A

L. braziliensis
L. amazoniensis

Similaire à leishmaniose classique
Multiples lésions secondaires
Proximité ou distance du site primaire

23
Q

Description leishmaniose cutanée disséminée

A

L. braziliensis
L. amazoniensis

Similaire à leishmaniose classique
Multiples lésions secondaires
Proximité ou distance du site primaire

*dissémination hématogène précoce
*diminution de la production d’IFN-gamma et TNF

24
Q

Description leishmaniose cutanée diffuse

A

L. aethiopica (Afrique)
L. amazoniensis (Amériques)

Nodules et chéloïdes-like
Ulcération peu fréquente

Infiltration nasale et muqueuse possible
(larynx, pharynx)

25
Chiclero ulcer
*Mexique et Amérique du Sud* **Leishmaniose** Infection sur l'oreille d'un travailleur forestier qui collecte gomme de chicle tree
26
Type de leishmaniose cutanée représenté
**Diffuse** Grands nodules similaire à lèpre lépromateuse
27
Type de leishmaniose cutanée représenté
**Disséminée** Petites papules
28
Description leishmaniose mucocutanée
*Leishmania braziliensis* complex Mois à 20+ ans après infection **Muqueuse** Oedème des lèvres et du nez Perforation du septum nasal > cartilage laryngé ou palais Infiltration ou ulcération des muqueuses nez lèvres oropharynx (oculaire ou génital) *Espundia* (visage de tapir) raucité de la voix
29
Description leishmaniose viscérale (kala-azar)
*L. donovani* *L. infantum* *L. chagasi* **Parasite dans MO, rate et foie** Incubation 1 à 36 ans *Systémique* Fièvre (parfois intermittente) Perte de poids Toux Adénopathie HSM *Cutané* Papules, nodules ou ulcères aux sites infectés (*Leishmania*) Purpura, PIH, xérose, décoloration kwashiorkor-like des poilds **Complications** Entérite Oronasal Hémorragie GI Oneumonie Néphrite Décès
30
Description leishmaniose dermique post-kala-azar
*L. donovani* *L. infantum* *L. chagasi* **Séquelle de leishmaniose viscérale traitée ou non** ad 20 ans après *Soudan* (50% des guéris) *Inde* (10% des guéris) *Cutané* Macules hypopigmentées Érythème malaire Nodules couleur peau Papules verruqueuses
31
Particularité leishmaniose avec VIH (4)
**VIH+** Augmentation 100-2000x risque de leishmaniose viscérale Présentation clinique atypique Diminution réponse thérapeutique Mortalité augmentée Augmentation de la charge virale VIH (par activation immunitaire chronique)
32
Histologie leishmaniose
*Favoriser bordure d'un nouvel ulcère* **Ulcération** Hyperplasie pseudoépithéliomateuse Infiltrat inflammatoire mixte histiocytes lymphocytes plasmocytes neutrophiles **Amastigotes dans les macrophages dermiques** (50%) derme papillaire *Progression* Augmentation du nombre de cellules géantes et moins de parasites Granulomes tuberculoïdes avec nécrose de caséation **Stade cicatriciel** Aplatissement de l'épiderme Hyperpigmentation Fibrose dermique *forme diffuse avec nombreux amastigotes dans histiocytes spumeux *forme disséminée peu d'amastigotes, infiltrat lymphoplasmocytaire *forme viscérale dans ganglions, MO, rate **IHC et colorations** Giemsa Wright Feulgen CD1a
33
Diagnostic leishmaniose
Biopsie cutanée Aspiration à l'aiguille Scraping dermique Cultures PCR Réaction retardée au test cutané (Montenegro skin test ou Leishman reaction) Ag leishmania pour induire immunité cellulaire Sérologies *moins de parasites dans les lésions de longue date
34
Montenegro skin test (Leishman reaction)
Réaction retardée suite à injection d'Ag leishmania pour induire immunité cellulaire Injection intradermique avant-bras interne **Positif** (ad 90% avec cutanée ou mucocutanée x 3 mois) Papule 5+ mm au site d'inoculation après 48-72h Ne distingue pas infection passée ou active plus utile hors des zones endémiques *toujours négatif pour forme diffuse cutanée (anergique) *négatif pendant stade fébrile de leishmaniose viscérale (souvent positif après guérison)
35
Limites Montenegro skin test (Leishman reaction)
*Réaction retardée suite à injection d'Ag leishmania pour induire immunité cellulaire* **Faux positif** Ne distingue pas infection passée ou active plus utile hors des zones endémiques **Faux négatif** Forme diffuse cutanée (anergique) (toujours) Stade fébrile de leishmaniose viscérale (souvent positif après guérison)
36
Réaction croisée sérologies *Leishmania*
Chagas
37
DDx clinique leishmaniose cutanée
Réaction persistante aux piqûres d'arthropodes CBC TB Mycobactéries atypiques Mycoses profondes *Autres causes de lésions à distribution sporotrichoïde*
38
DDx clinique leishmaniose mucocutanée
Paracoccidioidomycose Syphilis tertiaire GPA (Wegener) Lymphome NK/T (nasal) Ulcérations avec cocaïne *Autres causes de lésions nez en selle*
39
DDx histologique macrophages parasités (6)
*Grandma HELPs Rhinos* Granulome inguinal (donovanose) Histoplasmose Emmonsiose Leishmaniose Penicilliose Rhinosclérome
40
DDx histologique leishmaniose (6)
**Macrophages parasités** *Grandma HELPs Rhinos* Granulome inguinal (donovanose) Histoplasmose Emmonsiose Leishmaniose Penicilliose Rhinosclérome **Hyperplasie pseudoépithéliomateuse** CSC
41
Traitement leishmaniose cutanée
Antimoine meglumine Miltefosine **Amphotéricine B** liposomale 3 mg/kg/jour IV jour 1-7 **Évolution sans traitement** *Old World* L. major 2-4 mois L. tropica 6-15 mois *New World* L. mexicana > 75% en 3 mois L. braziliensis et L. panamensis < 10% ou 35%
42
Traitement leishmaniose mucocutanée
**Amphotéricine B** liposomale 3 mg/kg/jour IV pour total 20-60 mg/kg
43
Indications pour traitement systémique de leishmaniose cutanée Old World (5)
Immunosuppression > 4 lésions de taille substantielle > 1 cm Lésion de taille individuelle 5+ cm Adénopathie de grande taille Atteinte muqueuse, visage, oreilles, OGE, doigts, orteils, peau supra-articulaire
44
Effets secondaires fréquents des traitements pour leishmaniose
**Antimoine** *IL* Douleur localisée Érythème Oedème *IV* Enzymite Myalgie ou arthralgie Douleur abdominale ou nausée Thrombocytopénie, leucopénie Changements ECG ou cardiotoxicité **Miltefosine** Vertige No, Vo, diarrhée Créatinine élevée Enzymite hépatique Tératogénécité **Pentamidine** No, Vo, diarrhée Hyperglycémie Cardiotoxicité
45
Prévention leishmaniose
Éviter morsure de a mouche de sable *Risque plus élevé le matin et soir* DEET filets pour lits vêtements imprégnés de perméthrine dormir dans zones peut à risque Éliminer réservoirs animaux