Cardiac Cases Flashcards

(6 cards)

1
Q
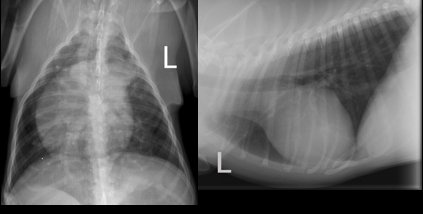
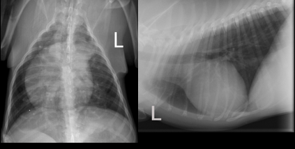
  • 13 year old, ME, Cocker Spaniel
  • Presented with coughing and retching for several weeks. Recently collapsing.
  • Increased respiratory noise on auscultation. RR 38bpm; HR 160bpm, regular. Weak femoral pulses; and pale mucous membranes and CRT > 2 secs.

Discus radiographic quality and what can be seen

A
  • DV and lateral
  • DV view is rotated which may affect interpretation (care with cardiac silhouette). Cant tell if inspiratory
  • Lateral is inspiratory and minimal rotation. Good centre. Collimation etc.
  • Cardiac enlargement – large CS. Very tall - Dorsally displaced trachea
  • Lung pattern – Alveolar (air Broncho grams, increase opacity, obliteration etc.) caudually. Cr lung lobe has a little increase in opacity but not as affected as much
  • Lateral view – lung lobe alveolar pattern and some air bronchograms predominately caudally. Cn see edges of diaphragm, BV and CS. Not all an alveolar pattern as you wouldn’t be able to see these). So there is a part interestital pattern too.
  • Bonsell: The whole thorax is affected
  • When drawing a line from the trachea bifurcation to the apex there is not an even chamber distribution
  • Around 3.5 intercostal spaces width (should be 2.5 -3.5 on lateral)
  • Height of the heart on the lateral view is more than 2/3 high at the level of the 5th rib
  • Border obliteration of CS on DV and also cant see diaphragm
  • Caudal margin is more caudal than it should be and straight – LEFT SIDE ENLARGEMENT
  • Not that increased sternal diaphragmatic contact – so right side isn’t enlarged
  • No real sign of plural disease
  • Hard to assess vessels due to patterns
How well did you know this?
1
Not at all
2
3
4
5
Perfectly
2
Q
  • 13 year old, ME, Cocker Spaniel
  • Presented with coughing and retching for several weeks. Recently collapsing.
  • Increased respiratory noise on auscultation. RR 38bpm; HR 160bpm, regular. Weak femoral pulses; and pale mucous membranes and CRT > 2 secs.

Discus differentials

A

•DIFFERENTIALS

–Left congestive heart failure

–DCM – cocker is quite prone

–CDVD (particularly mitral)

What was actually found

•Echo:

–Thi wall to heat

–Big ventricle lumen

–LA looks big

–DCM

  • LA: Aorta = 3:1
  • DCM leading to DCM
How well did you know this?
1
Not at all
2
3
4
5
Perfectly
3
Q
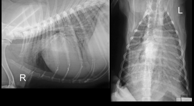
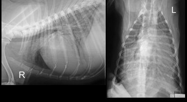
  • 18 month old, ME, West Highland White Terrier.
  • Presented for vaccination and heart murmur detected.
  • Owner says seems well at home, but tires easily when playing. No weakness or collapse observed. No coughing.
  • Normal respiratory sounds on auscultation. Grade 3 heart murmur, PMI heart base L=R. RR28; HR 140; normal CRT and colour.

Discuss quality and what can be seen

A
  • Quality is good. Little axial rotation (some curvature in DV). Lateral has some rotation. Both inspiration.
  • Underexposed (white). (note: overexposure is like toast and it goes black!)
  • Vertebral heart score of 10 (high end of normal)
  • Right sided heart enlargement
  • Expiratory film
  • Bulging PA (LAA would be more 3 o clock in DV)
  • Cardiac silohouette

–Big

–Left is rounded and normal

–R: marked enlargement and towards wall

  • Weird things cranial to heart ventral edge of mediastinum (due to PA enlargement)
  • Apex to trachea bifurcation – 3-4:1
  • Cranial lobar vessels – small! O this might be why we see so many lung markings
  • No pleural disease
How well did you know this?
1
Not at all
2
3
4
5
Perfectly
4
Q
  • 18 month old, ME, West Highland White Terrier.
  • Presented for vaccination and heart murmur detected.
  • Owner says seems well at home, but tires easily when playing. No weakness or collapse observed. No coughing.
  • Normal respiratory sounds on auscultation. Grade 3 heart murmur, PMI heart base L=R. RR28; HR 140; normal CRT and colour.

What are the differentials?

A

•Differentials:

–Pulmonic stenosis (lead to R enlargement to increase ventricle and cant push blood out or through valve. Turbulence through stenosis = enlarged PA trunk)

–If you had a PDA – blood would go from aorta to PA. Round the lungs. LA – LV. So if you had a shunting lesion = LEFT side enlarged!! And pulmonary circulation would be enlarged. (PDA or VSD)

What was found…

•Echo:

–Right side is enlarged

–Thick ventricular muscle

–Thick ventricular free wall

–Marked increase in muscle

–Septum – the LV pressure is greater than RV. Flattened in this case which says the pressure is greater in RV.

–Narrow pulmonic valve and a bulge (PA) – colour would show turbulence

–PULMONIC STENOSI

How well did you know this?
1
Not at all
2
3
4
5
Perfectly
5
Q
  • 4 year old, MN, Domestic Short-haired cat.
  • Presented with acute onset tachypnoea and occasional mouth breathing.
  • Initial treatment with cage rest, oxygen supplementation and IV furosemide. Improved and did not resent handling/manipulation.
  • Increased respiratory noise on auscultation. RR 60bpm; HR 210bpm. Difficult to palpate femoral pulses, CRT normal, mucous membranes pale.

Discuss quality and what can be seen

A
  • DV and R lateral of thorax
  • Both straight and minimal axial rotation. Both inspiratory and labelled. No artefacts.
  • More sternal contact of the heart
  • Lung pattern: Interstitial
  • Vertebral heart score (4+6) = 10
  • Width of heart – 2 IC (normal)
  • DV – valentine shaped heart. Wide cranially = big atria. In cats its harder to guess chamber enlagement (e.g. could just be just LA and pushing to R)
  • Lateral – Border obliteration (cranially). Measrure perpendicular width is bigger between 5th and 7th rib (wide and tall)
  • Lungs: Increased opacity. Less opaque areas – interstitial. Alveolar pattern too
  • Ventral on the lateral – increase opacity = could be fat but small amount of pleural effusion – look dorsally the lung lobes the one meet at T10 and normally in cats wont come away until T11-13.
How well did you know this?
1
Not at all
2
3
4
5
Perfectly
6
Q
  • 4 year old, MN, Domestic Short-haired cat.
  • Presented with acute onset tachypnoea and occasional mouth breathing.
  • Initial treatment with cage rest, oxygen supplementation and IV furosemide. Improved and did not resent handling/manipulation.
  • Increased respiratory noise on auscultation. RR 60bpm; HR 210bpm. Difficult to palpate femoral pulses, CRT normal, mucous membranes pale.

Discuss differentials

A

•Differentials:

–HCM (older – acquired cardiac disease)

–Left sided cardiac failure

What was found:

•Echo

–Marked LV thickening

–Huge LA

–Measure IV septum at diastole -7.5mm (normally 5.6-6)

–2.1:1 atrium:aorta (looks like a whale not even a slug)

–HCM! Large LA (left sided CHF)

How well did you know this?
1
Not at all
2
3
4
5
Perfectly