Why biopsy the skin?
Biopsy sampling do’s?
Do a review of normal histology of skin?
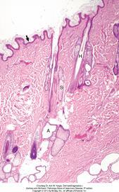
The epidermis (arrow) in haired skin has an undulating surface but lacks rete ridges. The epidermis in haired skin has fewer nucleated cell layers than the epidermis in nonhaired (hairless) skin such as that on the nose and pawpads; thus it is referred to as “thin” skin. Hair follicles (H), apocrine glands (A), and sebaceous glands (S) are present. The haired skin is thickest over the dorsal aspect of the body and on the lateral aspect of the limbs, and it is thinnest on the ventral aspect of the body and the medial aspect of the thighs. H&E stain

Name the different patterns?
Perivascular dermatitis
Interface dermatitis
Vasculitis
Nodular and/or diffuse dermatitis
Vesicular/pustular dermatitis
Folliculitis/furunculosis/sebaceous adenitis
Panniculitis
Atrophic dermatoses
Describe Perivascular dermatitis?
Most common but unfortunately least specific diagnostic pattern
Least specific pattern – it is just inflammation of the skin; leukocytes are sent into the dermis.
Describe Interface dermatitis?

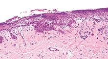
Describe vasculitis?

Image showing post vaccination vasculitis. Massive accumulation of Ag.Ab complexes depositing in vascular wall and activating complement cascade = inflammation.

Describe Nodular and/or diffuse dermatitis?

Describe Intraepidermal vesicular/pustular dermatitis?

The pattern of Intraepidermal vesicles/pustules is further classified by:
Position
Subcorneal (ie v superficial)
Suprabasilar (ie deeper)
In follicular external root sheath
Cellular infiltrate
Neutrophils
Eosinophils
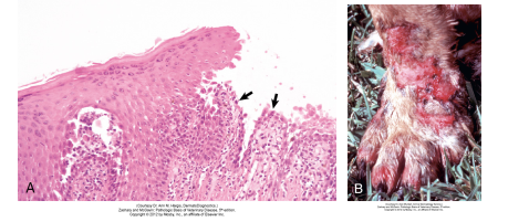
What is this dog suffering from?

Pemphigus vulgaris, skin, dog. A, Suprabasilar clefting has left a row of basal cells (arrows) attached to the dermis. The single row of basal cells is fragile and easily damaged leading to formation of ulcers, with subsequent fluid loss and secondary bacterial infection. H&E stain.
B, Leg. Note the erythema and large confluent areas of ulceration. In contrast to pemphigus foliaceous (more commonly characterized by erosions and crusts), pemphigus vulgaris is characterized by larger more confluent ulcers because the acantholysis in pemphigus vulgaris occurs deeper in the epidermis (in the cells of the lower epidermis). Vesicles are not frequently seen as they rapidly progress to ulcers, the more common clinical lesion.
Describe Subepidermal vesicular/pustular dermatitis?


Describe Folliculitis/furunculosis/adenitis?
Describe Atrophic dermatosis?
Describe panniculitis?

Define
Acanthocyte
Acantholysis
Acanthosis
Acanthocyte – epidermal cell free in a vesicle/pustule, caused by acantholysis
Acantholysis – loss of cohesion between cells of the living epidermis
Acanthosis – hyperplasia of stratum spinosum
Define
Apoptosis
Dyskeratosis
Epidermolysis
Apoptosis – individual cell death, requiring energy
Dyskeratosis - abnormal, premature or imperfect keratinisation of keratinocytes
Epidermolysis – degeneration of epidermal basal layer
–> separation of epidermis from dermis
Define
Exocytosis
Hydropic degeneration
Hyperkeratosis
Exocytosis – migration of inflammatory cells from dermis –> epidermis
Hydropic degeneration – vacuoles in stratum basale –> intrabasal or subepidermal clefts
Hyperkeratosis – increase in stratum corneum (orthokeratotic/parakeratotic; basket-weave/compact)
Define
Intracellular oedema
Necrolysis
Orthokeratosis
Intracellular oedema – occurs with hydropic degeneration of basal cells and ballooning degeneration (seen with herpes virus infections)
Necrolysis – epidermal necrosis with no dermal involvement and minimal inflammation
Orthokeratosis –excessive cornification – keratinocytes lose nuclei
Define
Parakeratosis
Pigment incontinence
Spongiosis
Parakeratosis - excessive cornification – keratinocytes retain nuclei
Pigment incontinence – release of melanin granules into superficial dermis
Spongiosis - intercellular oedema in the epidermis