Discuss felixs history?
History
Discuss felix’s physical exam and clinical examination?
Physical examination
Clinical examination
What are felix’s clinical problems?
Clinical problems:
1.Dyspnoeic
Ddx: URT disease: FB,
LRT disease: pneumonia, pleural effusion, pulmonary oedema, heart failure
2.Cyanotic
Ddx:
URT disease: laryngeal paralysis
LRT: pneumonia other: thromboembolism, cylothorax, haemothorax, pyothorax, pleural effusion, hypoventilation, poisoning.
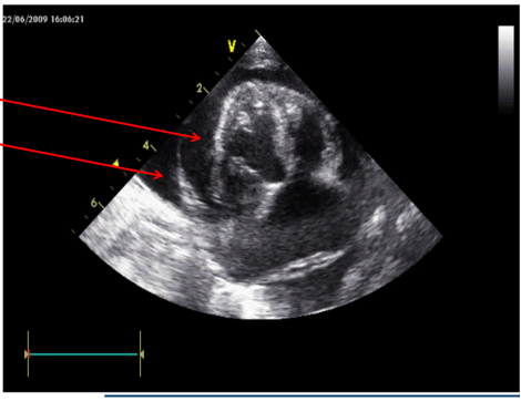
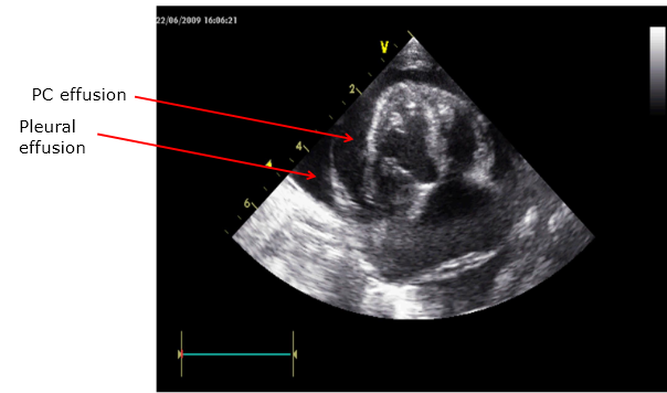
What does Felix’s ultrasounds show?


Felix was treated for congestive cardiac failure secondary to myocardial disease as detailed on the next slide – can you see the rationale for this?
Clinical signs of HCF
What treatment was given and why to felix?
As RR fell, intravenous furosemide continued TID.
Blood was taken after 12 hours for biochemistry and haematology
Results from his blood tests:
Routine haematology – WNL
Routine biochemistry - ↑urea
T4 normal
Hypokalaemic, K+ - 3.2 (Ref. Range 3.5-5.5))
What would you do next?
24 hours later he is much more stable
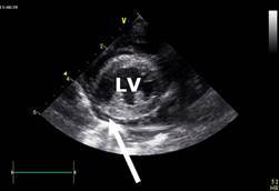
An echocardiogram was performed
Comment on the principle features evident on the echo, in particular the relative sizes of the cardiac chambers and the thickness of the ventricular walls.
Do you know how these images might be generated?

24 hours later he is much more stable
An echocardiogram was performed
Comment on the principle features evident on the echo, in particular the relative sizes of the cardiac chambers and the thickness of the ventricular walls.
Do you know how these images might be generated?

24 hours later he is much more stable
An echocardiogram was performed
Comment on the principle features evident on the echo, in particular the relative sizes of the cardiac chambers and the thickness of the ventricular walls.
Do you know how these images might be generated?

D/d:
Could lead to atrial rupture and pericardial effusion - acute (poor prognosis)
Discuss Felixs ongoing treatment?
Furosemide ~ loop diuretic: control oedema formation, increased excretion of fluid in urine
Benazepril ~ ACEi: inhibits RAAS system, venous and arterial vasodilation, decreased salt and water retention
Kamminox ~ K supplement (liquid form for cats)
Aspirin ~ platelet aggregation inhibitor (don’t use much anymore because of GI ulceration risk)
Clopidogrel ~ platelet aggregation inhibitor
He stabilised and was able to go home 3 days following admission and is now back chasing rabbits!