What are the d/dx for hip joint pathology?
What is canine hip dysplasia determined by?
animals genes
At birth how do dogs genetically predisposed to hip dysplasia hips appear macroscopically?
Dogs genetically predisposed to HD have macroscopically normal hips at birth, but changes begin within a few weeks
What promotes phenotypic expression of HD?
rapid growth and abundant food promote phenotypic expression of the HD
Describe the bimodal age distribution of HD?
Bimodal age distribution of clinically affected dogs:
3-12 months: synovitis
2-12+ years: osteoarthritis
Create a flow chart for the pathogenesis of hip dysplasia?

What are the clinical signs of hip dyslpasia?
May be asymptomatic
May be non-specific: tires, doesn’t play, stiff on rising, reluctant to jump
Observe:
Palpate:
Manipulate hips:
What is joint laxity dependent on?
Hip Laxity Joint laxity is dependent upon:
How can hip laxity be assessed?
What is the ortolani test?
A positive sign is a distinctive ‘clunk’ which can be heard and felt as the femoral head relocates anteriorly into the acetabulum

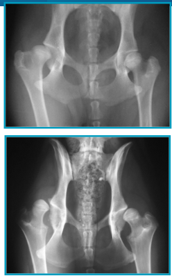
How is radiography done for hip dysplasia?

How can we assess level of hip sub/luxation from radiographic images?
Want to look at dorsal acetabular rim: yellow squiggly line
The red dot on the femoral head should sit where the left red dot is in a non luxated hip.
Dorsal lateral acetabular ridge: White curve line looking at wear and tear on it
New bone: Yellow arrows. New bone seen in dorsal, ventral aspects of acetabulam and around the femoral head. A good indication joint is unhappy and under a degree of strain.
50% coverage of the femoral head is correct as seen in image

What is the distraction index?
NOT appropriate for UK due to requirement to hold animal during radiography
0 = perfect congruity
0.3 -0.7 = abnormal
1 = complete luxation

Describe conservative management for hip dysplasia?
Treatment Conservative management should always be tried first:
The majority ( 76% ) of juvenile dogs with severe radiographic signs of hip dysplasia may be only mildly clinically affected in later life if they are properly managed: kept at optimal weight and regularly exercised
What are the treatments for hip dysplasia?
Immature dog:
Mature dog:
When would a triple pelvic osteotomy be indicated in dogs?
Potential candidate would have:
so mainly immature dogs (5-10 months of age)
What is the theory of the triple pelvic osteotomy?
Acetabular segment rotated laterally to capture femoral head –> stabilise hip –> clinical improvement and reduced DJD
Theoretically, degree of rotation determined from Ortolani angles (20, 30, 40 degree plates)
Bilateral surgery if appropriate -staged

What is occuring here?

What are the clinical signs of perthes disease?
Clinically:
Usually unilateral –bilateral in 12-16.5% cases
Non-inflammatory aseptic necrosis of the femoral head and neck
What are possible treatments for avascular necrosis of the femoral head?
Treatment –

What damage can happen to the stifle joint?
What might you observe in a dog with cranial cruciate disease?
Observe:
On a clinical exam of a suspected cranial cruciate ligament rupture what might be seen?
Palpate:
Manipulate:
