A 2 year-old Golden Retriever presented with trismus and pain upon opening the jaw since approximately 2 weeks
Serum concentrations of Creatine kinase (CK) and Aspartate aminotransferase (AST) are normal

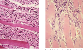
1 and 2: There is severe and bilateral atrophy of masseter and temporalis muscles (other muscles affected are also medial and lateral pterygoid and rostral portions of the digastricus muscles)
Based on the previous answer, you should now be able to establish the most likely diagnosis (Question 3) (use the literature now if you have not done it yet)
Masticatory myositis
Why is masticatory myositis only affecting these muscles?
Type 2 fibers of masticatory muscles of the dog contain a specific myosin isoform (type 2M fibers), not present in the rest of muscles in the body. Animals affected by the disease have specific antibodies directed against these specific type 2M fibers. This is important because you can test clinically for the antibodies.
Let’s say that we do a biopsy. Which histopathological changes would you expect? Do they depend on the stage of the disease?
Yes, the lesions depend on the stage of the disease. In the acute phase the muscle is grossly swollen and histologically shows multifocal and variable amounts of inflammatory cells, including lymphocytes, macrophages, plasma cells and sometimes eosinophils (this is why in some texts the disease was also known as eosinophilic myositis) (figures 1 and 2). Fibrosis is not usually observed at this stage.
In chronic stages of disease there is extensive interstitial fibrosis and atrophy of many muscle fibres (figure 3). Regeneration features of muscular fibers can be present. Our animal is unfortunately probably at the chronic stage of the disease, since there is already severe atrophy of masticatory muscles
Does muscle represent a ‘stable’, ‘permanent’ or ‘labile’ tissue? What are the implications?
Skeletal muscle cells belong to the category of ‘permanent’ tissue (=nondividing tissues). Cells have left the cell cycle and cannot undergo mitotic division. However, although mature skeletal muscle cells do not divide, skeletal muscle has capacity of regeneration through the satellite cells that are attached to the endomysial sheaths
How would you detect muscle fibre regeneration in a histological section?
This occurs by activation of satellite cells (that are more resistant than the muscle fibres themselves), becoming multinucleate myoblasts (known as myotubes), resembling similar myoblasts present during embryogenesis
How would you confirm the diagnosis of masticatory myositis?
There are several serological tests available to detect the autoantibodies against type 2M fibers (e.g. ELISA)
Why can “weight loss” and respiratory signs like coughing be early clinical signs in cases of polymyositis?
Muscles throughout the whole body are affected. Respiratory muscle involvement can occur and if severe, will cause respiratory distress. Moreover, involvement of esophageal muscles can lead to esophageal dysfunction (and can cause megaoesophagus) which can lead to aspiration pneumonia
Chronic ongoing polymyositis leads to loss of muscle fibers and fibrosis (generalized muscular atrophy) which is often recognized by the owners as “weight loss” and generalized weakness
•What histological changes would you expect to see in muscle from a dog with myasthenia gravis?
There are no histological changes to be seen. However, this can already be useful information suggesting that other muscle diseases might be excluded

Which other organs should you check if you suspect myasthenia gravis and why?
Thymus and thyroid glands. Some cases of acquired myasthenia gravis have been associated to thymomas, thymic hyperplasia or, sporadically, to hypothyroidism. However, most cases of myasthenia gravis are not associated with any other underlying neoplastic or systemic disease process