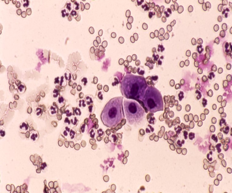
What can be seen on this cytology?

The presence of small intermediate epithelial cells and large numbers of polymorphonuclear leukocytes indicates that the bitch is in metoestrous.
DEfine A commensal micro-organism.
–An organism that lives associated with the host in harmony and causes no disease. The organisms may stimulate an immune response and may help development of adaptive immunity.
Define oppurtunistic pathogen
–An organism that becomes pathogenic when given the chance. Normally the organism lives on the host without causing disease and requires secondary conditions to become pathogenic.
Define pathogenic micro organism
–Organisms which actively cause disease.
What bacteria would you expect to find in the vestibule, vagina,, cervix and uterus of:
A) Bitch?
B) MAre?
C) Cow?
In the bitch, mare, cow:
What is the most important oppurtunistic bactera pathogen in the female repro tract?
Where do tehy originate from?
In the bitch, mare and cow:
Name a common clinical condition of the female tract that is associated with such pathogenic infection
What features are disturbed in the host defence that allow the bacteria to become pathogenic?
In the bitch, mare and cow:
Which features contribute to resistance to infection?
Are there any features of the bacteria that influence potential invasiveness and therefore pathogenicity?
How could the exogenous progestin have caused a pyometra?
Progestin administration extends the period of progesterone dominance and therefore enhances the normal effects of progesterone manifest by increased glandular development and secretions which may lead to CEH/pyometra. Pyometra is a well-recognised complication of administration of progestins (for this product there is an incidence of 0.3%. Other progestins are linked to a higher incidence of pyometra).
Why does a pyometra occur in the oestrus stage of the cycle? Explain how opportunistic pathogens become established in the uterus.
Pyometra is described as a disease of the luteal phase when progesterone predominates. Progesterone causes thickening of the wall of the uterus, increases uterine glandular secretion, closes the cervix and decreases uterine contractions. At the end of the luteal phase these changes are reversed as progesterone concentrations decline. In older bitches some endometrial thickening may persist, and this may result in endometrial hyperplasia which sometimes becomes cystic. This condition is known as cystic endometrial hyperplasia (CEH) and is the forerunner to a pyometra.
There is a normal contamination of the uterus with commensal bacteria from the vagina when the cervix opens during oestrus. The normal uterus clears this contamination but the uterus with endometrial hyperplasia may be unable to do so, and when combined with closure of the cervix, increased glandular secretion and the decreased uterine contractions this may allow proliferation of any opportunistic pathogens (such as E.coli) that enter the uterus during oestrus.
What is the endocrine environment that drives pyometra in the bitch?
Key endocrine events are high progesterone following a phase of elevated oestrogen. The oestrogen effects on the cervix allow bacterial contamination of the uterus. The progesterone closes the cervix and often in the presence of CEH and/or if the uterus does not clear uterine bacteria adequately then pyometra may occur.
Is the endocrine environment abnormal in pyometra?
The endocrine environment is not abnormal unless exogenous oestrogen or progestin has been administered. Progesterone concentrations in bitches with pyometra are similar to those in normal bitches. The long luteal phase of the bitch may be a contributory factor
Why is a dog with a pyometra collapsed and what are the underpinning physiological changes? Include an explanation of the skin tenting and vomiting.
Pyometra is a chronic inflammatory condition resulting in some cases in an overwhelming infection with toxaemia, vomiting, dehydration and collapse. An absolute neutrophilia is common; there is usually hyperproteinaemia. E.coli toxaemia results in reduced resorption of sodium and chloride within the loop of Henle and there is a subsequent polyuria and compensatory polydipsia. Dehydration causes excess drinking and skin tenting. Leakage of pus into the abdomen would result in rapid clinical deterioration.
What are the diagnostic tests of a pyo? (6)
