List imaging modalities and when they are useful?
•Radiography
–Important and frequently used tool
–Still in this day and age the most used tool for imaging the thorax
•Ultrasonography
–Important for heart and elsewhere
–Emergency ultrasound
–“The Chest Rad’s Companion”
–Important for the heart, but also useful elsewhere – particularly in emergency situations
–Complements radiography
•CT
–Use where radiography and ultrasonography fail to identify cause and extent of disease
–Now modality of choice for lung (if available)
–Where radiography and US doesn’t give us an answer
•Endoscopy
–Useful for larger airways and oesophagus
•MRI/scintigraphy
–Fewer indications
–At the moment it isn’t used very much, but will change as it develops
To image or not to image? If none of these things are likely to change, no point doing the imaging as we wont see anything!
What are these things?
Radiographic (Roentgen) Signs
–Number
–Location
–Size
–Shape
–Margination
–Radiopacity
–(Internal architecture)
–(Function)
Ultrasonographic signs
–Number
–Location
–Size
–Shape
–Margination
–Echogenicity
–Internal architecture
–Function
N.B. Need adequate access
Discuss normal variations?
Structures of the same opacity which are in contact will appear asone shadow. This is known as?
Border obliteration
aka silhouette sign/border effacement
Define ‘Mass Effect’?

Define ‘Mediastinal shift’?
VD/DV view
Displacement of the midline structures due to increased or decreased volume of adjacent structures, e.g. mass, fluid or lung collapse.
Reduction in volume – normal structures move towards the area of a problem
Pic – left lung collapsed, so mediastinum and cardiac silhouette has moved towards it

Why should a VD/DV be done before a lateral?
Discuss this radiograph?

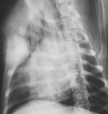
Rib Tumour
May be lesions explaining clinical signs of the animals
Came in with a mass, owner noticed lump. Can see the mass.
Discuss this radiograph?

Subcutaneous emphysema
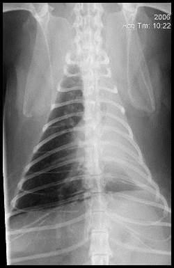
Can get useful info about what has happened about changes going on within the thorax, VD of cat
Can see increase opacity and cannot see cardiac silhouette – but can see air and lucencies in subcut tissues
SUBCUTAENOUS EMPHYSEMA – suggests some kind of trauma and some leaking from airways at some point
Discuss Costochondral junctions and costal cartilage mineralisation?
If marked increase in opacity at one costochondral junction it might be a lesion, but if its on it all of them its normal
What is this?

Nipple shadow
Can see nipples! Surrounded by air. Nodules in lung due to mets tend to be circular, nipples are more elongated in appearance as seen here
What pitfall can be seen here?

Skin fold
This line extends outside of thoracic cavity – SKIN FOLD!!
What is the pleural cavity?
PC – virtual space
2 membranes – visceral and parietal pleura with a small amount of fluid in between
Do not see this on a normal radiograph

What changes are seen when pleural fluid occurs?
you see a number of changes – fluid in pleural cavity, separating lungs from thoracic wall, soft tissue fluid opacity – see it ventrally and dorsally. If lying on side, fluid drops to bottom and then spread up the sides slightly, separates lungs from spine and sternum – get rounding up, scalloping of lung edges ventrally, see bits of fluid going in between lung lobes. Also due to this fluid, get border obliteration of Cardiac Silhouette
What is the common pleural fluid pattern of unilateral, encapsulated, large effusions?
= pyothorax, (neoplastic effusion)
Normally, fluid flows freely from LHS to RHS of thorax. If thick fluid with lots of cells, this will block holes and might get unilateral effusion – puss or neoplastic effusion.
What is common pleural fluid patterns of concurrent abdominal fluid with small effusion?
hypoproteinaemia, FIP, heart failure
What are common pleural fluid patterns of the trachea (+/- oesophagus) grossly elevated and compressed, heart caudally displaced with large effusion?
lymphoma, thymoma
What are common pleural fluid patterns of Large effusions?
•chylothorax
Trauma signs of pleura fluid patterns?
•blood, lymph
What might this suggest: Trauma signs, loss of diaphragmatic shadow, loculated gas, heart displaced and reduced abdominal contents
Ruptured diaphragm
Discuss lung fields on radiographs?
Normal appearance – there are 6 lung lobes in dogs and cats, we don’t see individual lobes on radiographs, just see lung field
Divide into concentric circles
Describe these concentric circles in regards to lung fields?

Central, middle and peripheral thirds
Central – will see airway and BV markings
Middle – BV markings
Peripheral – not much in way of lung markings at all
Lung pattern or
normal lung markings??

Bronchial (parallel walls with lucent centre)
Vascular BV in transverse as circles or as branching linear structures with no air in the middle

Describe bronchial thickening?
Bronchi can become thickened and will be seen further out towards the periphery, more so than usual – parallel lines called TRAM LINES and doughnuts.
