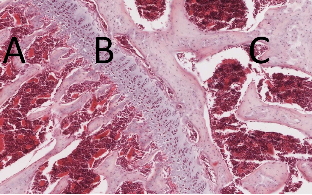
On this micrograph of a bone, identify the following areas:
A -
B -
C -


Identify the following areas:
diaphysis
epiphyseal growth plate
epiphysis

What group of muscles is this?
What are these structures innervated by?

What group of muscles is this?
Answer: triceps (long head)
What is this structure innervated by?
Answer: radial nerve
What muscle is this?
What is this muscle innervated by?
How would locomotion be effected if this nerve was damaged?

What muscle is this?
Answer: Quadriceps
What is this muscle innervated by?
Answer: femoral n.
How would locomotion be effected if this nerve was damaged?
Answer: unable to weight bear on the limb
Which joint is it?
How is this joint categorised based on its range of motion?
Which bones are labelled (A, B, C)?

Which joint is it?
Answer: fetlock joint or metacarpophalangeal joint
How is this joint categorised based on its range of motion?
Answer: hinge joint
Which bones are labelled (A, B, C)?
Answer: A=proximal sesamoid bone, B=proximal phalanx, C=metacarpal or metatarsal bone (cannon bone)

What structure is this?
What do vets commonly use this structure for?

What structure is this?
Answer: cephalic vein
What do vets commonly use this for?
Answer: superficial vein commonly used for blood sampling and i.v. injection

On this radiograph (2/22) identify the labelled structures (red, blue, orange, green).

Red = sesamoid bones in gastrocnemeus m. (fabellae)
Blue = intercondylar eminence
Orange = popliteal sesamoid bone
Green = fibula

What is the name of this control?
What is its function?

What is this?
Answer: Time gain compensation control
What is its function?
Answer: controls amplification of ultrasound wave returning to the machine
What is the name of each of these tools?
How do you correctly hold these tools?

What is the name of these tools?
Answer:
E=Adsons tissue forcep
F=Treves tissue forcep
G=towel clamp
H=scalpel
How do you correctly hold the following dissection tools?
Answer:
Scalpel: pencil grip or finger tip grip, ringed Instruments: thumb-ring finger grip
How would you describe muscle echogenicity?
Low to medium echogenicity, hyperechoic fascial planes separate the fibres. Boundaries are clearly visible as the epimysium is a highly reflective structure. Muscle tissue is divided by echogenic sheets of perimysial connective tissue, which gives it a speckled appearance.
What order does this species belong to?
How is the shell attached?
Identify the structures.
‘scutes’ are the outer layer of the shell, what tissue are they?
Why do tortoise move slowly?

What order does this species belong to?
Answer: chelonian
How is the shell attached?
Answer: fused to axial skeleton
Identify the structures
Answer: carapace: upper shell, plastron: lower shell
‘scutes’ are the outer layer of the shell, what tissue are they?
Answer: keratin
Why do tortoise move slowly?
Answer:
i) shell weight, ii)shell restricts limb movement, iii) inefficient sprawling gait, iv) limbs positioned at sides unlike mammals where limbs positioned under the body
Name the four (five) main areas of the avian vertebrae?
What is ‘spondylolisthesis’?

Name the four (five) main areas of the avian vertebrae?
Answer: cervical vertebrae, thoracic vertebrae, synsacrum, coccygeal vertebrae (pygostyle)
What is ‘spondylolisthesis’?
Answer: also called ‘Kinky-back’, it is a non-infectious disease of broilers, aggravated by fast body development. It does not occur in breeders, where growth rate is slowed by restricted feeding. It can be increased by genetic selection. It leads to posterior paralysis. Incidence of affected birds may reach 2% of the flock. It is due to damage of vertebrae in a specific region leading to spinal cord compression.
On this radiograph:
Identify the labelled bone orange, red and blue.

Identify the labelled bone orange, red and blue. [Answer:
orange=humerus
blue=ulna
red=radius
Label anconeal process
Label medial coronoid process
Do it notes bitchesssss!!!
