What equipment do we ned for echocardiography? (3)
–correct height so you are comfortable!
•Correct probe choice for your patient
What 3 things are involved in the prep?
•Clipping
–Apex beat on both sides
–Midline in the most cranial abdomen
What probe size do we use for:
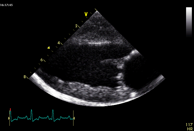
What view is this?
Right parasternal long axis 4 chamber
What view?
Right parasternal long axis views
What view?

Right parasternal long axis (RPLA)
4 chamber view
Where do we go from the RPLA? Like how do we move to get the next view
What view and what does the arrow show?
Right parasternal LA 5 chamber view
(aorta)
What is involved in the subjective assessment of the RPLA? (3)
–movement ventricles
–chamber dimensions
–valve morphology and motion
What is involved in the quantitative assessment of the RPLA? (2)
–left atrium diameter
–left ventricle
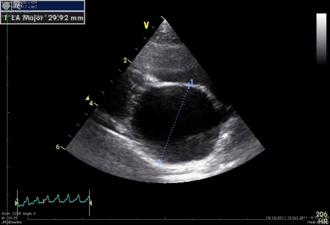
What does this show?

LA size
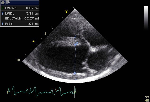
What does this show?

LV dimensions
How do we get to the RSPA from RPLA?
From RPLA 4 chamber view turn thumb to bum and turn the probe 90o.
Tilt probe +/- slide probe up chest wall as necessary.
What view?
Right parasternal short axis views
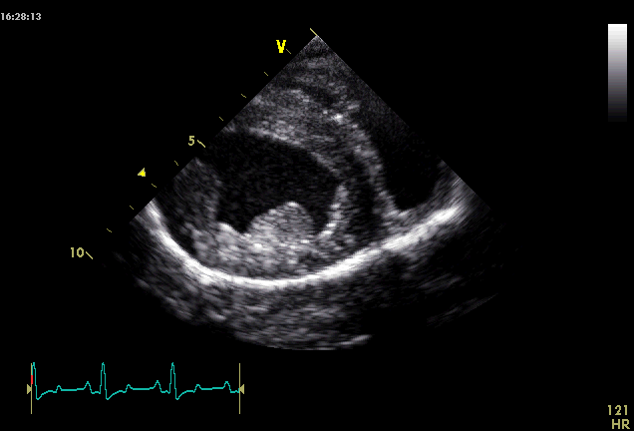
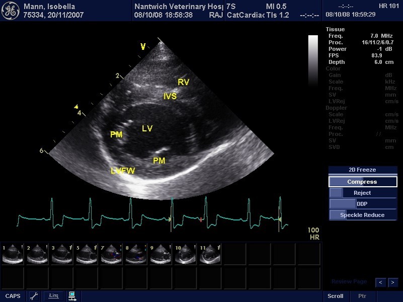
What view is this and at what level?

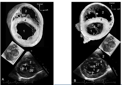
Right parasternal short axis view
LV @ pap mm level
What view is this and at what level?
Right parasternal short axis @ chorda tendinae
What view and level is this?

Right parasternal short axis @ chorda tendinae
What view and level is this?
Right parasternal short axis @ mitral valve
What view and level is this?

Right parasternal short axis @ mitral valve
What view of this?
Right parasternal short axis views
What view and level is this?
Right parasternal short axis @ aortic valve
What view and level is this?

Right parasternal short axis @ aortic valve
Right parasternal short axis views
What do we subjectively assess? (3)
–movement ventricles
–chamber dimensions
–valve morphology and motion
Right parasternal short axis views
What do we quantitavely assess? (4)
–Left atrium diameter
–Aorta diameter
–Pulmonary artery diameter
–M-mode