When is a trans tracheal wash good for?
When you can’t anaesthetise
What do you need for a TTW?
Flexible soft catheter
What can we use to get a sample of the lung contents if the animal is anaesthetised for radiography?
Blind BAL
What type of catheter do we need for a TWW? What size for a big dog?
Over needle catheter – big dog 14 or 16 gauge

How do you do a TTW?
Pop over needle catheter between 2 tracheal ring
Stylet out of soft catheter in lumen
Thread long catheter through as far as it can go
Saline down and aspirate straight away – should get 10% back
Send for cytology and microbiology

What is the limitation of a TTW?
May not reach the area where there is an issue
Probably only sampling distal trachea or bifurcation
Why is rhinoscopy not very common in general practice?
Cost of the scope
What is the problem of rhinoscopy?
Bleeds a lot and obscures the image
As soon as you touch the turbulents
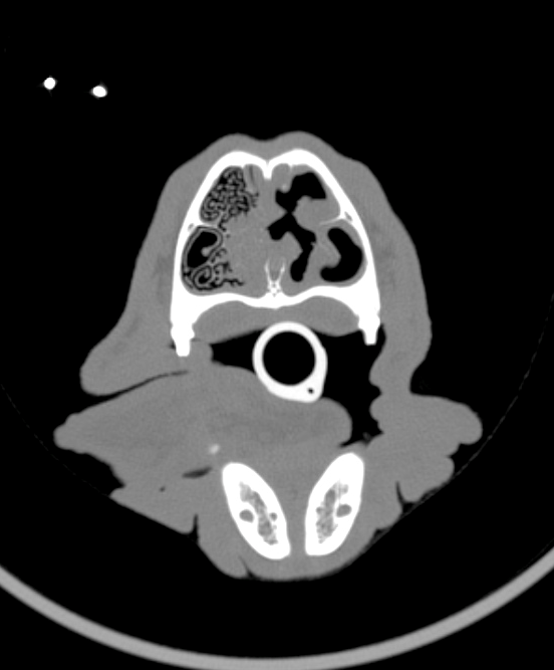
Where is the disease?

What is the probem here?

Destruction and white plaques – usually Aspergillus
The rhinoscope usually follows the path quite easily
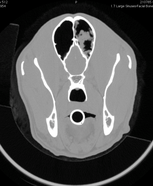
What is the problem here?

See the destruction of the nasal cavity
Blind biopsy may help when you can see there is destruction
What is the issue here?

Aspergillosis into frontal sinuses
What is this? Where is it commonly found/how would we find it?

Nasal FB
Must check the internal nares too!
Retroflex and behind the soft palate
What does a nasal FB cause in cats?
Naso pharyngeal disease
What can we do when an owner has no money but want to investigate nasal issues?
Nasal flush
How do you do a nasal flush?
Need a collection device as far back in the pharynx
Blow saline through and collect – can then send off
What is this and what is it useul for?

Fluoroscopy
Bone is black and air is white
Real time radiography
Tracheal diameter changes in respiratory cycle – good for tracheal collapse
Why should you always check the rest of the URT ?
Very often will have co-morbidity or structural changes
What are the issues of bronchoscopy? Can you overcome this?
Cant breath/maintain anaesthetic
Sometimes can put it down ET tube and make them deep
Could remove ET tube and keep tubing between
Maybe a constant I
What can be seen here?

Tracheal rings are C shaped
Across top- tracheal ligament (hypertrophy)
What is the problem? What do you do?

Severe tracheal collapse (grade the collapse)
Small breed dog, huge cough, exercise intolerant, wheeze – should be able to diagnose on the CS
Rich owners – sent to be stented
Owners cannot afford- exercise within capacity. Avoid warm weather. Use a harness (should advise this from day one with toy breeds). Discuss PTS. Keep the weight down. Could use cough suppressant
What is this?

Hypertrophy of dorsal liagmanet
How do you go about bronchoscope?
Each division of the lung should be explored
Right – 4 lobes
Left – 2 lobes
Size of the animal will determine how far we go with the scope
Most conditions will affect the whole bronchial tree
What is this issue here?

Irregular, thick, loss of bv
Dilated irregular
Some structural changes
Some mucous
Chronic bronchitis
Structural thing that wont get better
Collapse and dilation