Discuss lung patterns further?
e.g.
Be careful of these common errors?
•Do not over-interpret lung radiographs!!
–consider technical/normal variants first
–if wonder if pattern present, probably not!
•Look for lesions over the diaphragm
–do not stop looking at diaphragmatic line
–Diaphragm is domed – lungs will be superimposed on here caudal to the diaphragm, so don’t look for patterns there
•Beware superimposition shadows
–e.g. blood vessels overlying ribs
•Remember progression of alveolar disease
–Bronchial à interstitial à alveolar (worsening)
–Alveolar à interstitial à bronchial (e.g. treated)
Discuss the mediastinum?
3 main bits – cranial, caudal and middle part where heart is.
What is labelled here?

Yellow arrows: cranial mediastinum
Blue arrows – can see margins between 2 lung lobes as there is a fold of mediastinum going in between the 2 lung lobes and if this margin is transverse whilst doing a lateral view, will see it
What can be seen here?

Cranial mediastinum
Midline, homogenous soft band
Shouldn’t be any wider than twice the width of thoracic vertebrae
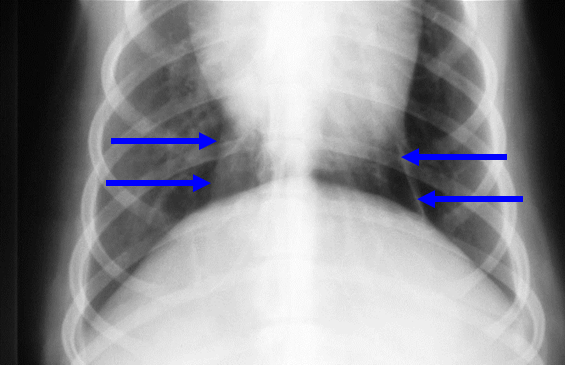
What can be seen here?

Caudal mediastinum
Blue – aorta
Yellow – vena cava
Don’t normally see normal oesophagus on radiograph
What can be seen here?

Caudal mediastinum
Reflection of pleura – represents the left part of caudal mediastinum – its not actually in midline, its slightly over to the left – if increased opacity in this caudal mediastinum, this is where increase will be – if its more midline opacity, more likely to be right lung lobe.
What can be seen here?

Mediastinal mass/fluid
Pleural fluid as lung lobes pushed away from spine
There is a mass here – our mass effect can help – trachea is dorsally elevated and compressed, something solid doing this
Pleural fluid and mediastinal mass
Look at this barium swallow of a dog?
Normal appearance of dog oesophogram

Look at this barium swallow pattern in a cat?
Change in muscle type in cat leads to this Heringbone pattern

What can be seen here?

Regional megaoesophagus
Vascular ring anomaly
Dilation of oesophagus cranial to this
Discuss pitfalls of mediastinal radiography?

What can be seen here?


What is the normal size of feline heart in radiographic appearance?
Normal width (DV)
Normal short axis (lateral)
Normal long axis (lateral)
Normal heart – roughly ovoid, in middle of thorax

How should cardiac radiographs be interpreted in older cats?
Old cat

Discuss how heart enlargement appears in cats?
Taller than we would expect and wider in DV view. Also abnormal shape
Enlarged atria
Caudal part relatively normal, wide shoulders – valentines heart, tells us that we have enlarged atria. In cats, cannot really get a good idea about individual chambers
Cardiomyopathy most common cause of heart disease in cats

Hows is dogs heart like a clock face?
Enlargement bulges in specific areas, can relate to individual structure of chamber enlargement in dogs – like a clock face.
In DV left side is slightly more flat
In DV right side is rounded

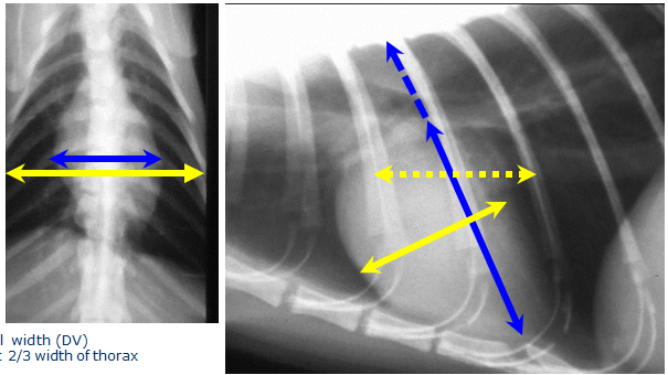
What is the normal size of a dogs heart?
Normal width (DV)
–< 2/3 width of thorax
Normal width (lateral)
–2.5 – 3.5 intercostal spaces wide
Normal height (lateral – 5th rib)
–2/3 height of thorax

Discuss breed variation in dog heart size?
Deep-Chested
Shallow-Chested
What is the vertebral heart score?
Add the no. of vertebrae
Suggested normal range
= 8.5 – 10.5
Breed specific values available
•Normal ranges differ between breed so always refer to this

What can be seen here?

Left-sided heart enlargement in dogs
If LHS enlarged, LV will spread caudally and also dorsally to some extent. So caudal aspect will be displaced and straight than usual
Tall heart
Describe this DV view of LHS enlargement?

DV view
General rounding and sits over the right when it should sit to left.
Line from apex to bifurcation, don’t have 1:1 ration, have a 2:1 ratio
What can be seen here?

Right-sided heart enlargement in dogs
Right ventricle will extend cranially, will increase width of cardiac silhouette and increase sternal contact
Not as much increase in height
What can be seen on this DV of right sided heart enlargement?
