What type of ET tube should we use for extractions?
•want to have an inflated cuff and be careful in cats and small dogs. Low pressure and high volume cuff!!!!! Soft type is better so when you move the head it will bend but not occlude
What could we use in extraction to prevent debris down the trachea?
Sponge pack
What analgesia will we give?
Pre med
LA
How will we give LA?
Going around the foramen not in it
Do we use antibiotics in the healthy patient?
NO! Not unless there is justification for it
What is equivalent to surgical clipping and scrubbing?
Scale and polish
Why do we need to flush the mouth?
As paste can inhibit healing
What can we use to disinfect the mouth?
•Chlorhexidine gluconate as it is antimicrobial and can be used as a mouth rinse
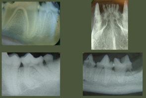
What are these 4 images?

What is a luxator? What do we use it for? What shouldnt we do with it?
•modified scalpel blade, - want to cut the periodontal ligament fibres suspending the teeth! What we don’t want to do is rotate.
How does an elevator work?
•Advance down the tooth and it will tend to move away. Fibres on that side – broken down. On the far side the fibres are crushed. If the fibres are stretched (10-20seconds) they will fatigue! Hold it there do not wiggle about loads (which is what people do.
what is the difference between simple and surgical extraction?
Simple has no tissue flap
What happens if there is a complication with simple extraction?
Can move to surgical
Where is surgical extraction used alot?
Multi rooted teeth and canines
Why do we take radiographs?
What is going on in these two images?
What is going on in these four images?
What is the first stage in a simple extraction?
What is going on in these 2 images of closed extraction step 2?

How would we section a tooth?
•Identify furcation and We will need to use a high speed drill with burr to section
What can be seen with the black and tranparent instrument?
If we need to flush alveolus what shouldwe use?
Hartmanns or saline
What must we have left behind after tooth removal and why?
Nice blood clot as this will do the healing, and we want it free of debris and for it to stay in place.
What does a black dot mean on the tooth?
Exposed necrotic pulp