What are the 2 ways we access the thorax?
–Lateral thoracotomy
•Rib space determined by structure involved – usually 4th or 5th
–Sternal split
•If you want good view of the thorax – cut through sternum and open whole thorax up
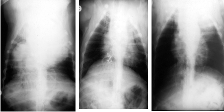
What can be seen in these images?
Dog that had thoracic surgery, has radio dense mass in throax which was displacing heart – chest opened up (middle pic) and heart put back in right place. Mass ended up being a large haemangiosarcoma – 6 months later, it reoccurred
Name the surgical conditions of the thorax (6)
–Lung lobe removal - indications:
•Tumour
–Might take whole lung lobe out.
–FB might cause lung to become consolidated so might need to take out
•Lobe torsion
–Exploratory thoracotomy – recurrent effusions?
•If we cannot decide why it pleural effusion, might need to exploratory thoractotomy
–Thoracic duct ligation – chylothorax
–Mediastinal tumours – thymoma/lymphoma
–FNA before we go in! As if lymphoma, can be treated medically whereas thymomas tend to be surgical
–Pericardectomy
–Congenital cardiac conditions
What can be seen?

Mass
Candidate for surgical lobectomy
Might CT before surgery to check there are no secondary in thorax or abdomen
What is this view showing?

View you would get through lateral
Can get at most of pericardium and at a patent ductus arteriosus
Can also see the phrenic nerve running
What does this show?

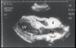
RA haemangiosarcoma
What does this show?

Vascular ring anomaly
Oesophagus is occluded by abnormal development at heart base
Will be regurgitating as soon as he is weaned
What are the 4 types of interventional cardiology?
•Balloon valvuloplasty
–For pulmonic stenosis – balloon vavular plasty to split valves open
•Balloon pericardiotomy
–Balloons across pericardium and put air through them due to a tumour we cannot remove maybe?
What can we use to affect Electrophysiology? (2)
–Connection between atrium and ventricle
–Allows very fast re-entry
–Fast SVT
–Can find bit of the wiring that is causing the tachycardia and you burn it out with cautery
What does this show?

Diaphragmatic hernia
What could you suggest here?
•List the indications for implanting a pacemaker (4)
–Only for symptomatic bradydysrythmias
–High grave AD block
–3rd degree AG block
–Sick sinus syndrome
What does this show?

Pacing lead down jugular vena cava
Why should we use a sophisticated pacemakers?
Sophisticated pacemakers have been able to allow for increase in HR when exercising and decrease in HR when rest – a lot of them just do a fixed constant rate HR – better ones can change!