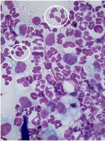
What inflammatory cell is this?

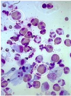
What inflammatory cell is this?

Eosinophils
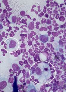
What inflammatory cell is this?

Macrophages
What inflammatory cell is this?

Lymphocytes
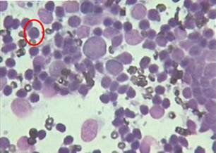
What kind of inflammatory cell is this?

Plasma cells
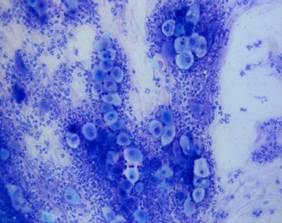
What can the relative numbers of inflammatory cells tell us?
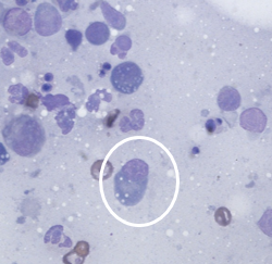
What is this?

Acantholytic keratinocytes
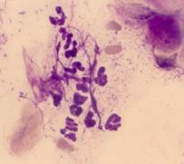
What is this?

Neutrophils, rods, nuclear streaming
What do cheyletiella feed on?
Tissue fluid. Cheyletiella have blade like chelicerae which pierce the skin. This is important in deciding treatment.
How would you treat cheyletiella infestation in a rabbit?
What are the three main groups of causes of pruritus?
Ectoparasites
Infections
Allergic skin diseases
Is the Sheep ked, Melophagus ovinus dangerous to the owner’s sheep?

What are the two most common mites in poultry, and how would you differentiate between them?
Dermanyssus gallinae (red mite) & Ornithonyssus sylviarum (northern fowl mite)
Northern fowl mites are found on the body of affected chickens, red mites feed and the return to the environment and not found unless eaten by the bird