To which group of hormones does equine chorionic gonadotropin (eCG) belong?
To which class of drug does clenbuterol (uterine spasmolytic), which is used to aid in obstetrical manoeuvres, belong?
β2-adrenoreceptor agonist.
You decide to give 0.1mg/kg of preservative free morphine (1% solution) to a 30kg greyhound dog
undergoing a caesarian.
What is the correct volume of morphine required for this dog?
0.3ml.
A 1% (w/v) concentration is obtained by dissolving 1 g of substance in a final volume of 100 ml solution
1 g =1000 mg
1 g/100ml = 1000mg/100ml=10mg/ml
Dog needs 30kg*0.1mg/kg= 3 mg = 0.3ml
1%=10mg/ml
An owner of an entire male guinea pig with anorexia brings you the object shown in the photo above
(next to the scalpel handle) which he found on the floor of the cage.
What is it?

spermatic plug, copulation plug
Which one of the following statements in relation to reproductive endocrinology of the bitch is correct?
Administration of a progesterone-receptor blocker produces no change in progesteroneconcentration
Which one of the following statements in relation to reproductive physiology of the bitch is correct?
Increased progesterone concentrations can be reliably used to determine the onset of
ovulation
Which statement best reflects the endocrinological situation in a bitch that has been spayed and
therefore has no ovaries?
Increased concentrations of LH, GnRH and FSH.
You examine a bitch to determine the optimal time to breed and take a blood sample for progesterone
measurement. Progesterone concentrations on the ELISA kit are ‘high’ and you advise mating
immediately. However the bitch refuses to stand. Vaginal cytology shows 5% parabasal, 15% small
intermediate, 40% large intermediate, 40% anuclear epithelial cells, with 10 polymorphonuclear
leucocytes per high power field.
Which one of the following is the most likely diagnosis?
The bitch has ovulated and the fertilisation period has ended
Which one of the following statements in relation to reproductive endocrinology of the bitch is correct?
Administration of a GnRH superagonist implant is useful prevention of oestrus
Which one of the following statements in relation to reproductive endocrinology of the bitch is correct?
Administration of a prolactin inhibitor in the luteal phase causes a decrease in progesterone
concentrations
This drug would most likely induce ovulation in a mare with a 36mm follicle identified on
palpation and ultrasonography per rectum.
Human chorionic gonadotrophin
This drug would most likely result in luteolysis in a mare with a corpus luteum that has been
identified in the ovary using ultrasound 7 days previously.
Prostaglandin F2-alpha analogue
A treatment protocol including this drug would most likely result in the development of a preovulatory
follicle and subsequent ovulation in a mare in the transitional period.
Progesterone analogue
It is the actual removal that causes the desired effect
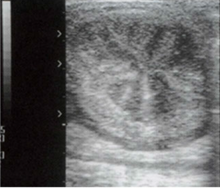
This ultrasound image shows a transverse view of a mare’s uterus taken as part of a pre-breeding
examination.
What is the correct description of the findings from this ultrasound?

There is uterine oedema present and the mare is in oestrus.
Pre-breeding examination of the mare should include assessment of the conformation of the
perineum. Correctly describe the conformation of the mare in the photograph above.
The ruler is present to represent the horizontal axis and the position of the anus with respect to the vulva.
You are not expected to make any measurements from the ruler.

This mare has abnormal conformation, 50% of the vulva is ventral to the pelvic brim and there
is a slight gap at the vulval lips.
sloping, slight gap, position of vulva related to ischium
What is a licensed drug suitable for shortening the transitional phase in the mare?
Provide the generic name, not the product name.
Any of these accepted:
(allyl trenbolone, allyltrenbolone, altenugest (regumate), altrenogest,
altrenogest (progesterone agonist), altrinogest., altrogenest, altrogonest (progesterone),
altronogest, altronogest (progestagen), progestagen - altrenoprost - regumate, progesterone
(regumate), progesterone analogue - altrenogest, progestogen - regumate, progestogenaltronogest,
proligestone progesterone)
This agent was confirmed in 37 abortion investigations by the APHA in 2012. The agent,
which is ubiquitous in the environment, can also cause meningo-encephalitis and ocular
disease.
Listeria monocytogenes
This agent is shed in the urine of infected animals, it is a zoonosis and its clinical presentation
in a UK dairy herd is often a sudden drop in milk production.
Leptospira hardjo
This bacterial cause of infertility and abortion is spread venereally, most commonly observed
in UK herds which use natural service. Infection can be diagnosed using vaginal mucus or
sheath washing sample.
Campylobacter fetus fetus venerealis
What is the most likely explanation for a high proportion of inter-service intervals of less than 18 days in
a dairy herd (i.e. many services occur less than 18 days after the previous service)?
Inaccurate heat detection.
On rectal examination of a cow, you palpate an amniotic vesicle with a diameter the size of 1 finger
(15mm), asymmetry between the two uterine horns, and a postive membrane slip.
What is your best estimate for the length of gestation in this cow?
range accepted between 30-50 days
In cattle, what is the main reason to administer the second GnRH injection on day 9 in the ‘ovsync’
protocol?
Ensure a better control of the timing of ovulation.
Ovulation of dominant follicle (26-32h after injection) and/or formation of luteal tissue by release of LH.
AI 16-24h after injection
What is a known risk factor for hydrometra in dairy goats?
Use of progesterone to advance onset of oestrus.