What are some potential problems you can get with the shoulder joint?
What are some shoulder soft tissues that can be damaged to cause shoulder instability?
What is the treatment for the shoulder instability with soft tissue injuries?
Conservative: motnhs
Surgical imbrication (capsulorrhaphy) or reinforcement (some debate as to the usefulness of these techniques)
How can you diagnose a biceps tendon injury in the shoulder?
Can be difficult to diagnose
Biceps test - pain on shoulder flexion with elbow extension
Usually partially torn at insertion on supraglenoid tubercle of scapula
What is the treatment for a biceps tendon injury of the shoulder?
What is the signalement for osteochondrosis of the shoulder?
Young, medium to large breed dogs particularly border collies
What is the diagnosis for osteochondrosis of the shoulder?
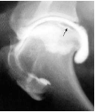
What is wrong with this arthrogram radiograph?

Shoulder: osteochondrosis
What are the treatment options for osteochondrosis of the shoulder?
What is the prognosis?
Treatment:
What can cause mineralisation of soft tissues in the shoulder?
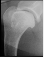
What is wrong here with this radiograph?

Mineralisation of soft tissues
Supraspinatous muscle
Bicipital groove
What is the treatment for mineralisation of soft tissues?
Sometimes of no significance and is an incidental finding - sometimes no treatment required
Conservative
Surgical excision
What is infraspinatous contracture?
Occurs in working dogs mostly
Repetitive trauma is a possible association
Contracture - a condition of shortening and hardening of muscles, tendons, or other tissue, often leading to deformity and rigidity of joints
What is the classical posture for infraspinatous contracture?
Flexed elbow with external rotation of the limb - elbow flexed and hold leg abducted out to the side
What is the treatment for infraspinatous contrature?
Isolate and identify this tendon and cut it –> instant improvement, good long-term prognosis
What is this posture a sign of?

Flexed elbow with external rotation of the limb - elbow flexed and hold leg abducted out to the side
Classical posture of infraspinatous contracture
What things can go wrong most commonly with the elbow joint?
Elbow dysplasia
Osteoarthritis
Elbow fractures
What is elbow dysplasia and what causes it?
What is the general underlying cause of elbow dysplasia?
Incongruence - alteration in the smooth transition of the articular surfaces
What can incongruence result from?
Incongruence can result from either a short radius or ulna
What can abnormal stresses placed on the articular surfaces cause?
Fragmented medial cornoid, osteochondrosis dessicans and ununited anconeal process and possible a fragmented medial epicondyle and tendon enthesiopathy
What is a tendon enthesiopathy?
an enthesopathy refers to a disorder involving the attachment of a tendon or ligament to a bone. This site of attachment is known as the enthesis
What is the characteristic stance of a dog with elbow dysplasia?
Hold the affected leg slightly abducted, wont take full pressure on it and slightly externally rotated

What is the most important factor that gives rise to elbow dysplasia?
It is a multifactoral disease, but most important factor is genetic make up of the dog: polygenic + high heritability
High degree of heritability