Draw normal ear structure?

Label the tympanic membrane?

What types of ear disease are there?
Pinnal disease
Diseases affecting the ear flap
Otitis externa
Inflammation of the outer ear
Otitis media
Inflammation of the middle ear
Otitis interna
Inflammation of the inner ear
Outline different pinnal diseases?

Discuss ear margin seborrhea?

Discuss ear physiology?
What is the Normal flora in the ear canal?
In treating otitis it is useful to consider?
Primary disease
e.g. atopic dermatitis, Otodectes cyanotis
Secondary disease
e.g. Malassezia, Staphylococci & Pseudomonas spp.
Predisposing factors
e.g. Hairy &/or pendulous ears, stenosis
Perpetuating factors
e.g. Ear canal hyperplasia, stenosis and scarring
P.S.P.P. system

What are some predisposing factors for otitis?
Conformation
Excessive moisture
Obstructive ear disease
Treatment effects
What are primary causes of otitis?
Parasites
Foreign bodies
Hypersensitivity
Keratinisation disorders
Glandular disorders
Miscellaneous
What is this?

Foreign body otitis
Grass seeds most common
Often stimulate violent response in the affected individual – sudden onset
Check the other ear!
Can be hidden in discharge and migrate into middle ear
Painful - chemical restraint is essential in most.
Grass seeds are most common in the summer
Beware the hair that looks like a grass seed and vice versa
Describe hypersensitivity otitis?
Hypersensitivity otitis
OE is a common complication of atopic dermatitis and food allergy (CAFR)
Primary otitis is often not recognised and so inadequately treated
Dogs and cats present when there is secondary infection
Prevention of recurrence
CAFR = cutaneous adverse food reaction
Discuss pathological changes in the external ear canal which perpetuate otitis?
Changes in canal wall
Changes in glandular tissue
What the clincal features of Otitis externa?
Clinical signs of OE
Physical findings
What is this?

Scarring caused by pseudomas infection
What are the clinical signs of otitis media?
Variable clinical signs
What are the clinical signs of horner’s syndrome?

What is Primary Secretory Otitis Media (PSOM) in the CKCS?
It consists of a highly viscous mucus plug which fills the dog’s middle ear and may cause the tympanic membrane to bulge. PSOM has been reported almost exclusively in cavaliers.
Because the pain and other sensations in the head and neck areas, resulting from PSOM, are similar to some symptoms caused by syringomyelia (SM), some examining veterinarians may have mis-diagnosed SM in cavaliers which actually have PSOM and not SM.

How is otitis media investigated?
When is a Myringotomy indicated?
How is a Myringotomy performed?

What is
BAER
Brainstem auditory evoked response?
Click applied to tested ear (white noise to other)
Peaks of response respond to transition through differing structures (e.g. peak I = vestibulocochlear nerve)
Normal dog – threshold <10dB
How can radiography help diagnose otitis media?

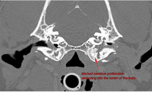
What can be seen here?

CT (X-ray computed tomography)
Can see bony changes after chronic pseudomonas otitis