What is hip dysplasia?
Hip dysplasia is an inherited developmental disease of the hip joint, characterised by hip laxity and the development of osteoarthritis
How comon is hip dysplasia?
Who is effected by hip dysplasia?
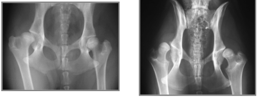
What can be seen here?

Hip dysplasia
Left: subluxated Right: completely luxated
Both can see femoral neck and acetabular changes
What is the causative pathogenesis of hip dysplasia?
Inherited, mechanism of inheritance is consistent with a polygenic trait (the phenotypic expression is influenced by genetic and non-genetic factors)
Variable estimates of heritability ranging from 0.2-0.6 depending on population studied
Non-genetic factors that may play a role in the expression of the disease include
What is the aetiopathogenesis of hip dysplasia?
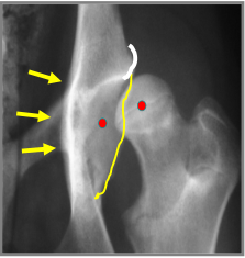
What can be seen in this image?

Red dots: show that the femoral head has subluxated they aren’t where they should be
Yellow wibbly line: remodelling changes that are trying to stabilise laxity
Yellow arrows: pointing to new bone growth/sclerosis.
What are the signs of osteoarthritis in Hip dysplasia?
What is the Norberg-Olsson angle?
Angle used to assess hip dysplasia

What is the warning associated with radiographic interpretation of Hip Dysplasia?
What are the D/dx for Hip dysplasia in young dogs?
Differential diagnoses in the young dog
What are the D/dx of hip dysplasia in the mature dog?
Differential diagnoses in the mature dog
What are the clinical signs of Hip dysplasia in young animals? (4-10 months of age)
Young dog (4-10 months of age)
What are the clinical signs of Hip Dysplasia in the adult dog (over 12 months of age)?
Adult dog (over 12 months of age)
Discuss bi-modal hip dysplasia clinical signs?
The clinical signs associated with HD typically have a bimodal age distribution:
Be aware that because of the high prevalence amongst dogs, HD tends to be over-diagnosed in both immature and older dogs
Strictly define elbow dysplasia?
Elbow dysplasia may be strictly defined as the abnormal development of the cubital joint
In dogs, numerous disease processes have been included under the term elbow dysplasia; however, three main diseases predominate, these are?
Define Elbow dysplasia?
Elbow dysplasia may be strictly defined as the abnormal development of the cubital joint
What is the liklihood of having the conditions that predominate in causing elbow dysplasia?
Un-united anconeal process (UAP)
Fragmentation of the medial coronoid process (FCP)
Osteochondritis dissecans (OCD) of the medial portion of the humeral condyle
Other diseases implicated in elbow dysplasia are?
Do cats get elbow dysplasia?
Elbow dysplasia has not been reported in cats, although there is ever greater recognition of osteoarthritis of the elbow in this species
How does the anconeal process usually develop and how does this differ in the GSD?
Normally the anconeal process develops as part of the ulna diaphysis but in certain breeds (e.g. GSD) it develops as a separate centre of ossification
How does a UAP occur in a basset hound and other similar breeds?
In certain breeds (e.g. Basset Hound) separation is secondary to non-traumatic premature closure of the distal ulnar growth plate