What are the 2 most common endocrine diseases in cats?
Hyperthyroidism
Feline Diabetes Mellitus:
What type of DM is more common in cats?
Describe the cycle of insulin resistance?

Outline the types of diabetes mellitus and their pathogenesis?
Type I
Type II
Specific causes - pancreatitis, pancreatic neoplasia, acromegaly, hyperadrenocorticism
Outline how type II diabetes may be caused by glucose/lipid toxicity?
Discuss 3 parts of the pathogenesis of Type 2 DM?
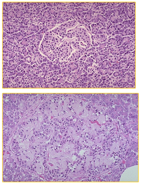
What can be seen here?

One of knock on consequences of DM is amyloid deposition in the pancreas
Draw a schematic that shows the causes of DM and at what stage treatment may prevent development of chronic irreversible DM?
At the 4th box it is this point If we can sort this out at this stage we can prevent development of DM 2

What is the pathophysiology of DM and what clinical signs does this cause?
How can DM be diagnosed on clinical history?
Clinical history

Based on clinical signs how can a diganosis of DM be confirmed?
Diagnosis in the cat is confounded by stress hyperglycaemia (Another disease process may make them look diabetic) so best to confirm with:
Hyper T4
What complicatins/co-mordities should be checked for with a suspicion of DM?
What are the aims of DM treatment?
What are the 2 licensed treatments for DM in the UK for cats?

How should the diabetic cat’s diet be managed?
Similarly to dogs, the diet should be consistent and not contain a large proportion of simple carbohydrates. In cats with suspected non-insulin dependent diabetes mellitus, obesity should be corrected as a priority to reduce insulin resistance. Emaciated cats should be fed a diet with high caloric density.
Recently, diets with high protein content have become popular in the management of diabetes mellitus in cats. These diets are used because their carbohydrate content can be reduced accordingly and because cats do not develop high peaks in post-prandial blood glucose concentration when they are fed on high protein diets. It is not clear whether supplementation of dietary fibre has any beneficial effect in cats
It is recommended you use exogenous insulin and an appropriate diabetic diet first in treating DM but what other products are available?
Insulin glargine (not licensed in cats but given to cats that don’t respond to the licensed treatments also is used widely abroad):
Oral hypoglycaemic agents can also sometimes be used in cats with NIDDM
How should i diabetic patient be monitored?
What should owners of diabetic cats be made aware of?
How can diabetes be monitored?
How frequently should BGC be monitored?
What is GLIPIZIDE and how can it be used to treat DM?
What is METFORMIN and how can it be used to treat DM?
What is ACARBOSE and how can it be used to treat DM?