What are the parts of this blood test?
Red - Erython
Blue/white - Leukon
Blue - Thrombon
Green - Morphology
Where and what are the steps in neutrophil production?
What are the 3 main steps in cells leaving blood vessels?
What may produce a shift from marginal to circulating pool?
What does a normal neutrophil count mean?
Name causes of neutrophilia
(Inflammatory mediators must be able to get from lesion to circulation to reach marrow – think about superficial skin, LUTD, CNS)
Name regenerative and degenerative causes of left shift neutrophilia
Regenerative left shift: mature neutrophils Hematology: neutrophil outnumber bands and are elevated or normal.
Degenerative left shift: excessive neutophil consumption → bands and/or less mature leukocytes outnumber mature neutrophils.
What causes a right shift of neutrophils?
•Glucocoticoids down-regulate adhesion molecules, less neutrophils leave the circulation to die, aged cells remain in circulation
What would be signs of toxic change in neutrophils?
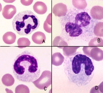
Label

A.Normal mature Neutrophil
B.Toxic neutrophil
C.Normal Band Neutrophil
D.Toxic Band Neutrophil
Name the different types of neutrophil inclusions and what can cause these
What is this?

Rabbit heterophil
What is this?

Reptile heterophil
What is this?

Avian Heterophil
Define heterophil
Functionally equivalent to neutrophils, but granules stain red
Name inflammatory causes of neutropenia
Name causes for decreased production neutropaenia
Name rare causes for neutropenia (4)
•Immune mediated neutropenia, Chediak-Higashi, ayclic haematopoiesis in grey collies, canine hereditary neutropenia
What does it mean to have neutropenia in:
A) Dogs/cats?
B) Horses?
C) Cows?
A) Very severe lesion
B) Probable severe lesion
C)Neutropenia typical in inflammation regardless of severity
What animal are these WBC types?
A) Canine
B) Feline
C) Equine
D) Bovine
D) Reactive
E) Granular
What are the categories of lymphocyte inclusions and what can cause these?
What are causes of lymphocytosis?
What can case lymphopenia?
What is seen with reactive lymphocytes?